症例・治療例紹介
Cases
その他 → クリーニング(PMTC)
22ページ目 / 37
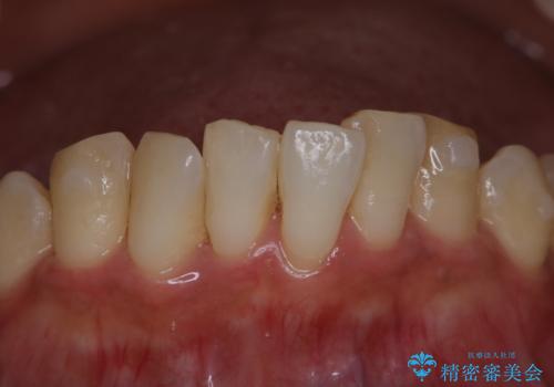
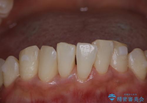
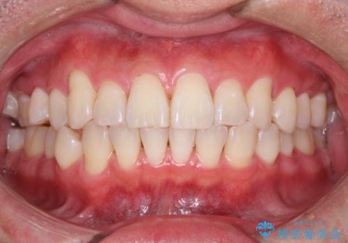
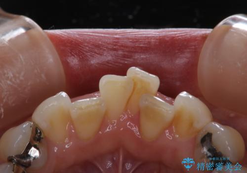
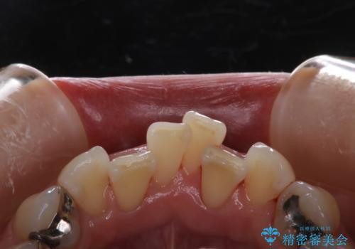
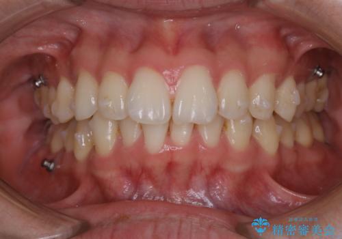
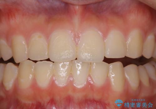
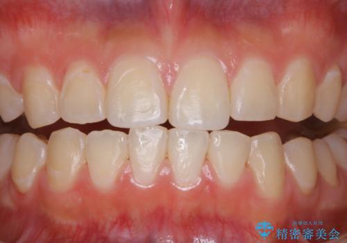
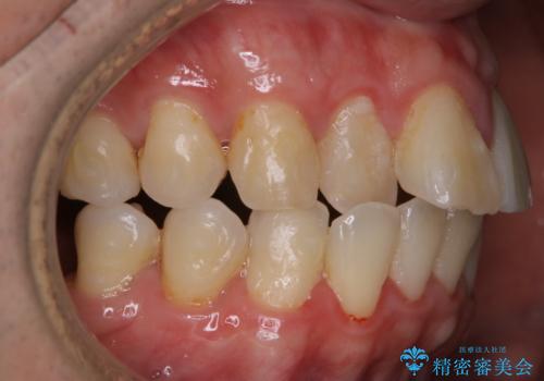
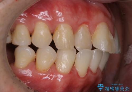
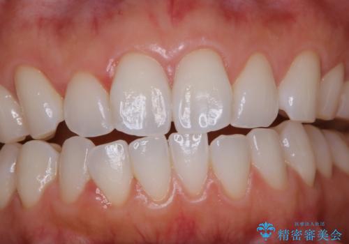
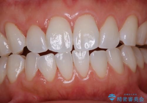
1日で着色を除去し綺麗な歯に
担当医 歯科衛生士


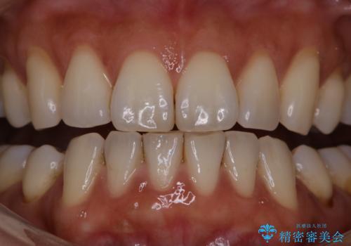
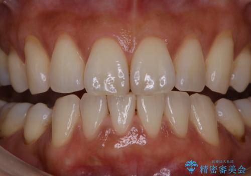
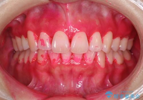
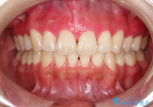
マスクの中で気になる口臭をPMTCで予防
担当医 歯科衛生士


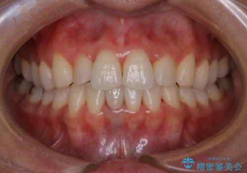
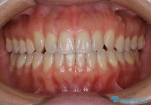
invisalign治療中にPMTCできれいな口元に
担当医 歯科衛生士


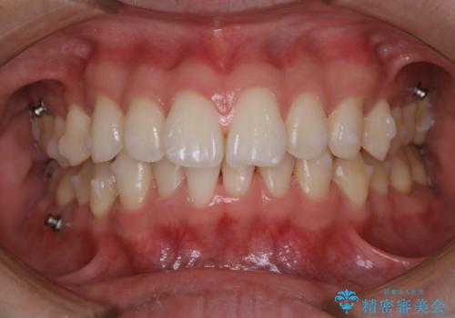
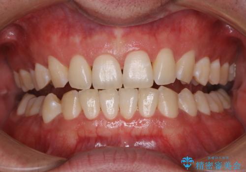
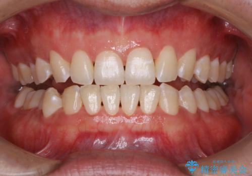
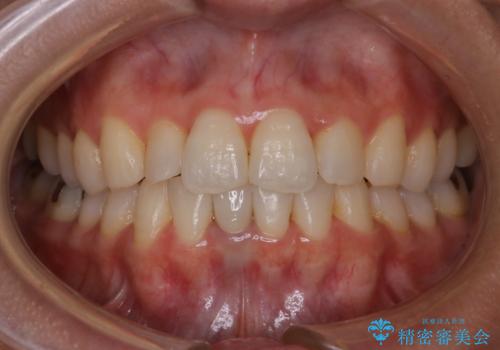
全体の総合的な治療前にPMTC
担当医 歯科衛生士


日々の歯磨き残しをPMTCで徹底的に除去
担当医 歯科衛生士


矯正治療の開始前にPMTCで汚れの除去
担当医 歯科衛生士


インビザラインでのマウスピース矯正中にPMTC
担当医 歯科衛生士


ホワイトニングせずにPMTCで明るい口元に
担当医 歯科衛生士


ナイトガードを作成前にPMTCできれいに
担当医 歯科衛生士


20代女性の紅茶による着色をPMTCで除去
担当医 歯科衛生士


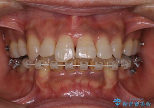
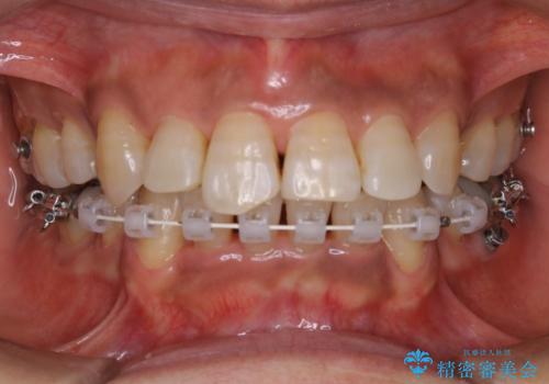
ハーフリンガルでのワイヤー矯正中にPMTC
担当医 歯科衛生士


虫歯の治療が終了後にPMTCで全体を綺麗に
担当医 歯科衛生士


染め出しをしての歯磨き指導とPMTC
担当医 歯科衛生士


インビザラインで歯科矯正治療を行っている方のPMTC
担当医 歯科衛生士


ホームホワイトニング前にPMTCできれいに
担当医 歯科衛生士


プロフェッショナルクリーニングの注意事項(リスク・副作用など)
- 歯を白くする目的の施術ではありません
- 保険適用外となります
