症例・治療例紹介
Cases
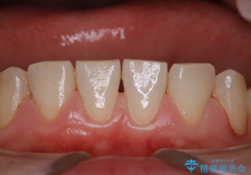
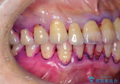
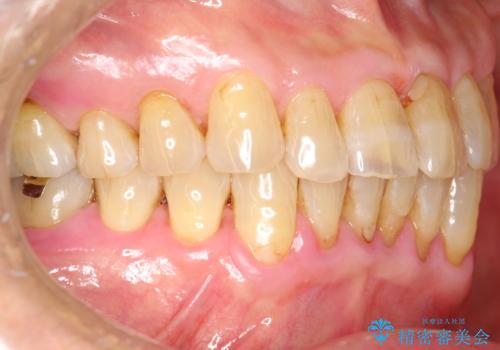
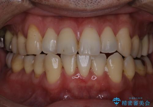
その他 → クリーニング(PMTC)
21ページ目 / 37
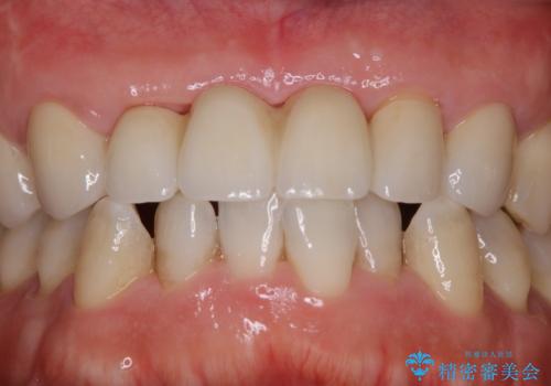
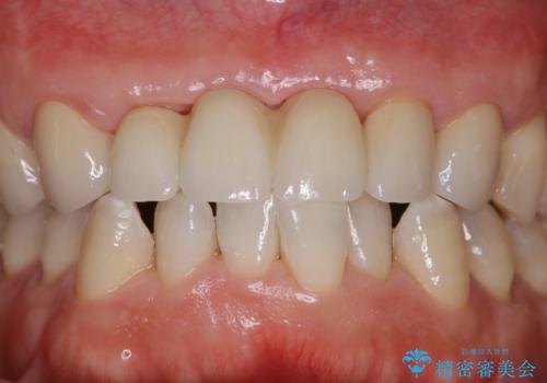
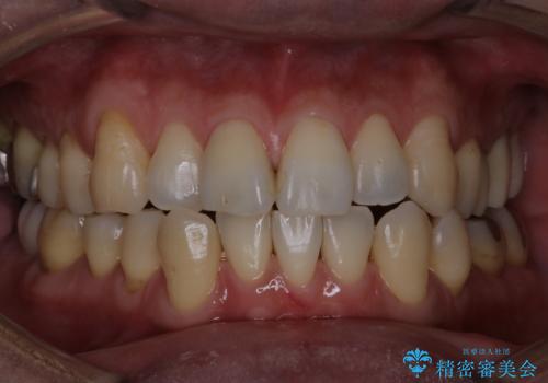
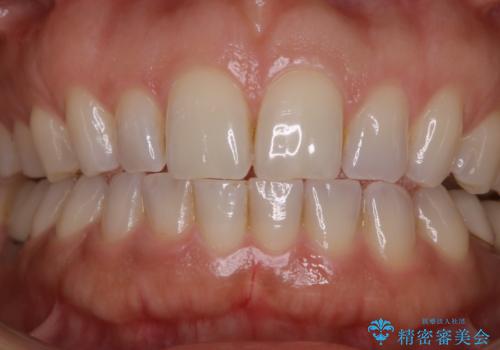
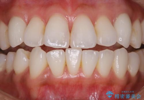
セラミックのチェックと合わせてPMTC
担当医 歯科衛生士


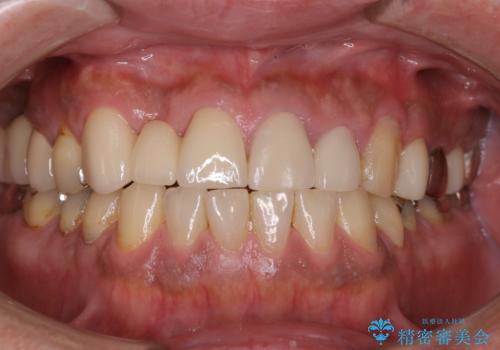
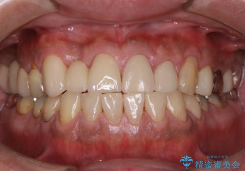
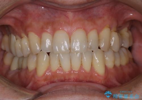
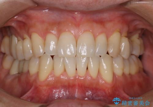
イベント前に綺麗な歯にしたい
担当医 歯科衛生士


気になる口臭をPMTCで改善
担当医 歯科衛生士


2カ月おきにメンテナンス
担当医 歯科衛生士


歯医者に久しぶりの来院でPMTC60分コース
担当医 歯科衛生士


ワインによる黄ばみをPMTCできれいに除去
担当医 歯科衛生士


PMTCでメンテナンス
担当医 歯科衛生士


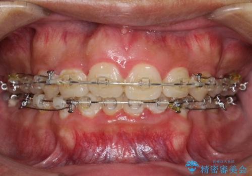
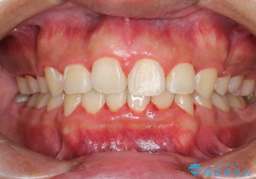
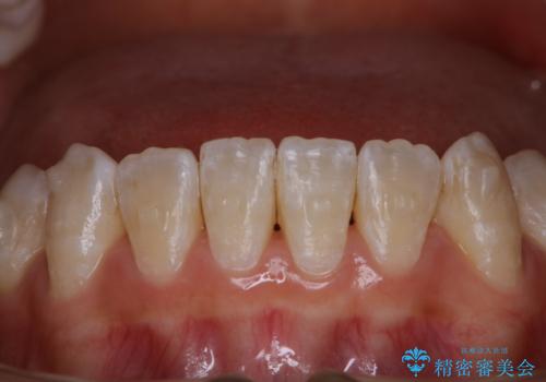
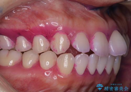
ワイヤー矯正終了時に装置除去と合わせてPMTC
担当医 歯科衛生士


インビザライン矯正治療中にPMTCでお口の中を清潔に
担当医 歯科衛生士


インビザラインの開始前に歯磨きのチェックとPMTC
担当医 歯科衛生士


ホワイトニング前にPMTCで歯石取り
担当医 歯科衛生士


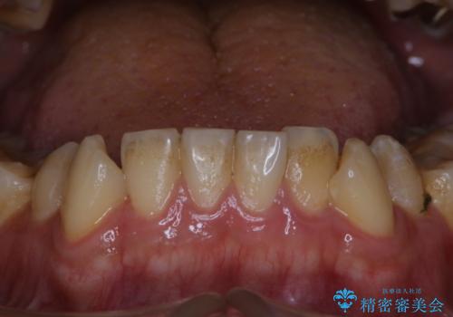
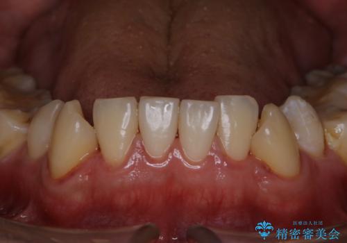
タバコによるヤニをPMTCで除去
担当医 歯科衛生士


インビザライン矯正中にPMTCでコーヒーによるステインの除去
担当医 歯科衛生士


人生で初めて歯のクリーニング〔PMTC〕
担当医 歯科衛生士


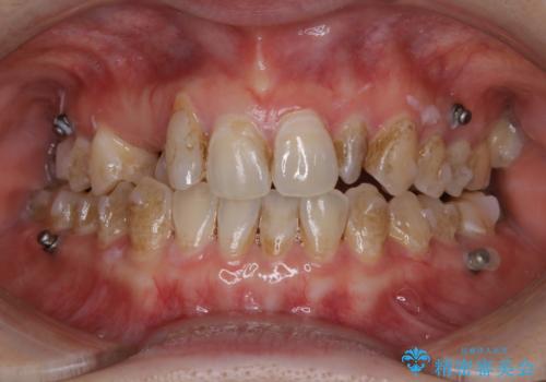
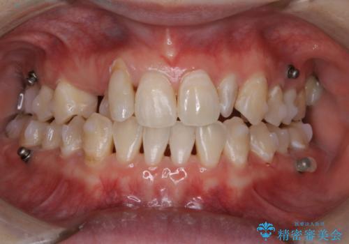
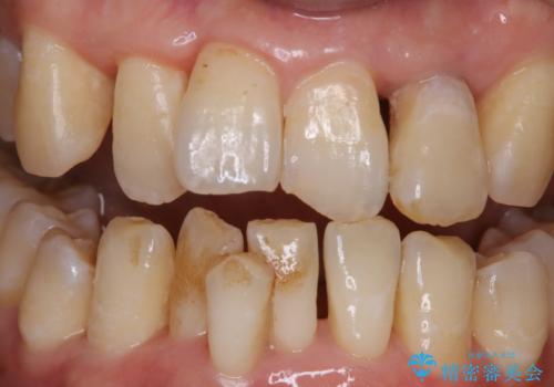
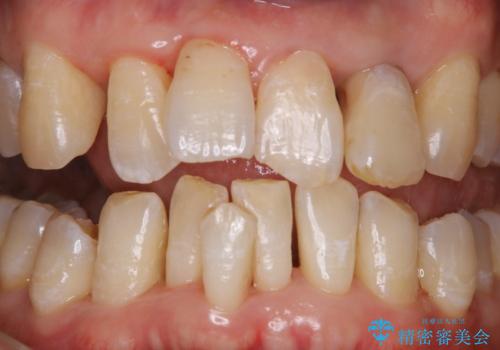
歯周病の治療前にまずはモチベーションUPにPMTCでステインの除去
担当医 歯科衛生士


プロフェッショナルクリーニングの注意事項(リスク・副作用など)
- 歯を白くする目的の施術ではありません
- 保険適用外となります
