症例・治療例紹介
Cases
その他 → クリーニング(PMTC)
17ページ目 / 37
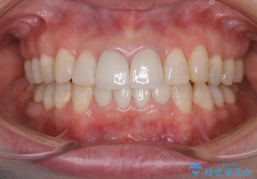
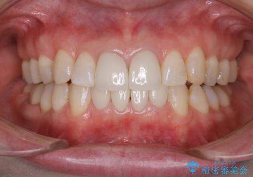
インプラントの2次手術前にPMTCで清潔な口腔内に
担当医 歯科衛生士


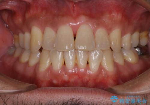
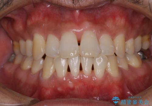
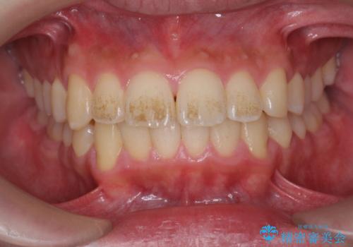
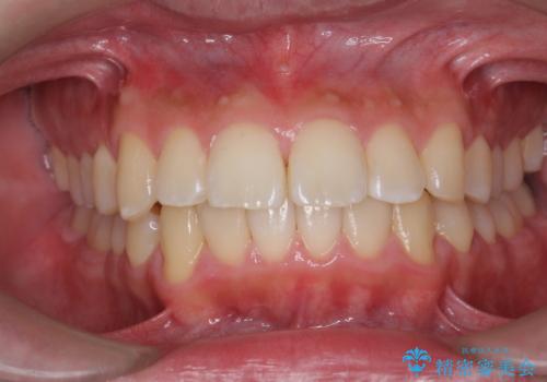
コーヒーによる歯の着色をきれいに
担当医 歯科衛生士


歯医者でホワイトニング 1日で白い歯に
担当医 歯科衛生士


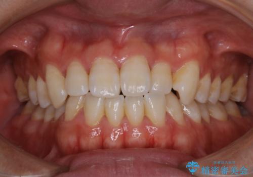
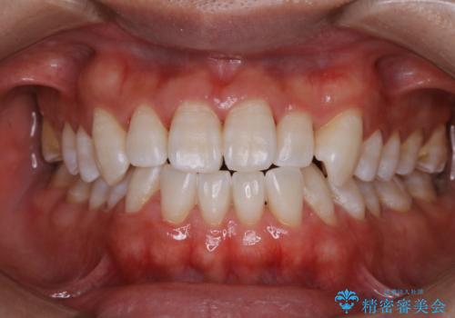
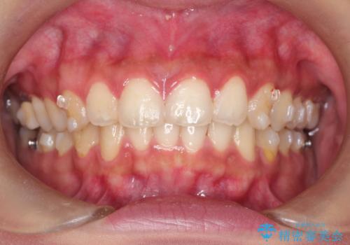
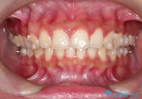
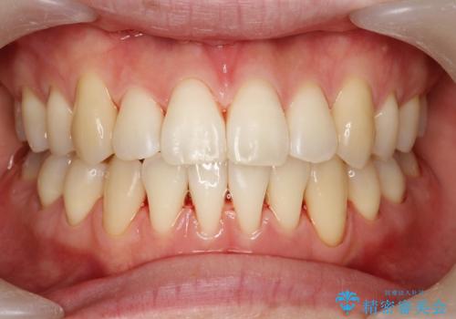
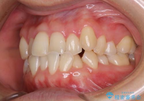
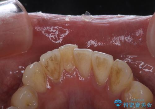
矯正治療が始まる前に歯のお掃除
担当医 歯科衛生士


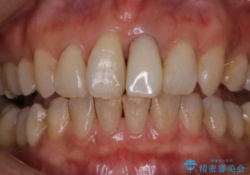
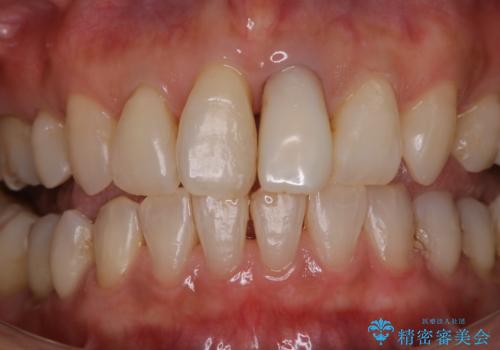
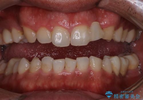
前歯の治療中にきれいに歯のクリーニング
担当医 歯科衛生士


エアフローパウダー+超微細ウォーター(クリーニング)
担当医 歯科衛生士


歯の表面に付着したステインをPMTCで除去。
担当医 歯科衛生士


5・6年ぶりに歯のクリーニング
担当医 歯科衛生士


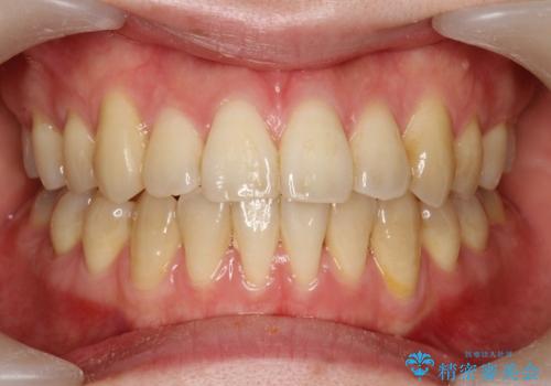
プラークなどによる歯の黄ばみ
担当医 歯科衛生士


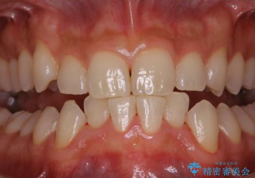
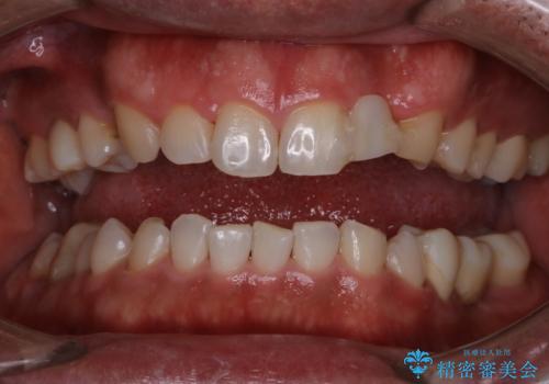
前歯のステインを取りたい PMTCできれいに
担当医 歯科衛生士


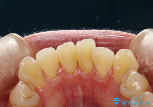
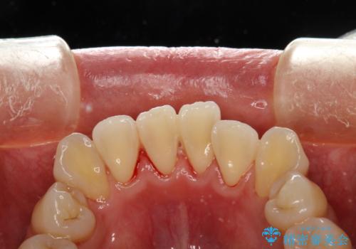
矯正治療が始まる前に歯磨きチェックとクリーニング
担当医 歯科衛生士


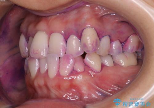
フロスが通せない PMTCで本来の歯のすき間に
担当医 歯科衛生士


タバコによる着色をPMTCできれいな白い歯に
担当医 歯科衛生士


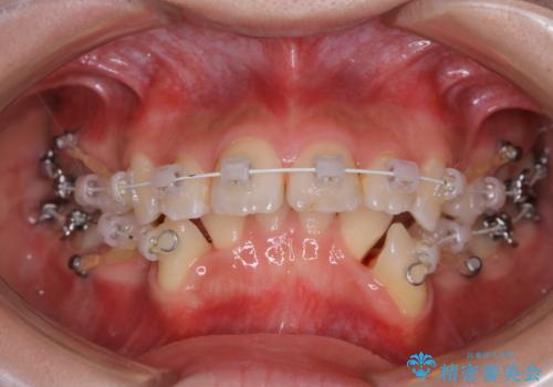
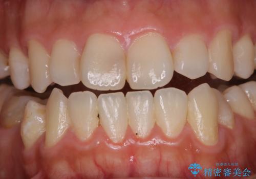
ワイヤー矯正中の歯のクリーニング
担当医 歯科衛生士


歯のクリーニングで歯周病の予防
担当医 歯科衛生士


プロフェッショナルクリーニングの注意事項(リスク・副作用など)
- 歯を白くする目的の施術ではありません
- 保険適用外となります
