症例・治療例紹介
Cases
その他 → クリーニング(PMTC)
14ページ目 / 37
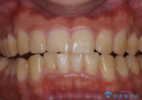
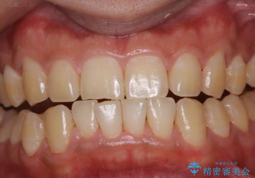
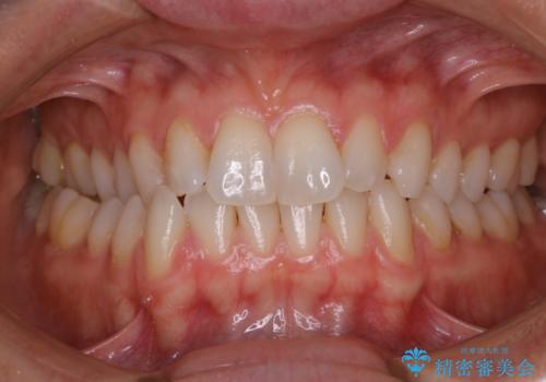
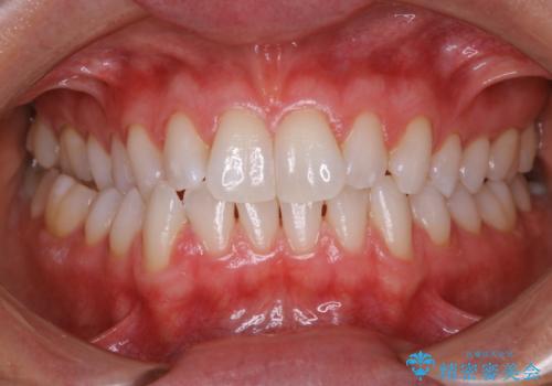
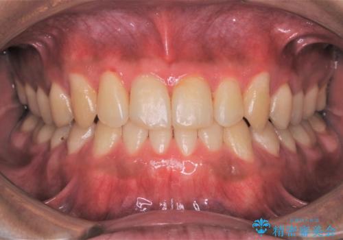
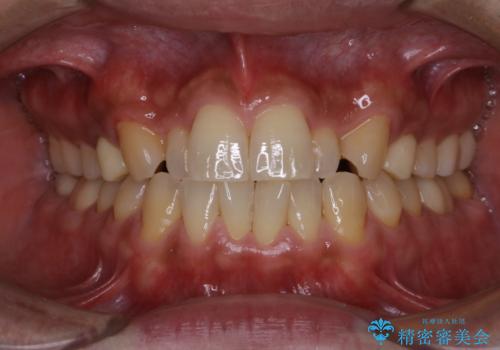
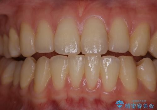
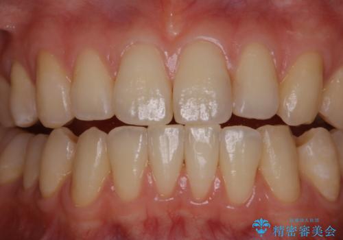
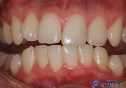
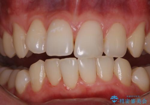
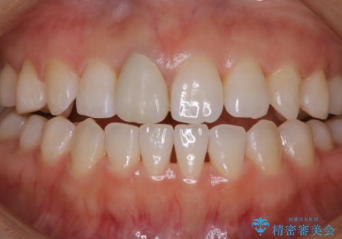
数年ぶりに歯のクリーニング(PMTC)
担当医 歯科衛生士


オフィスホワイトニングエクセレントコース
担当医 歯科衛生士


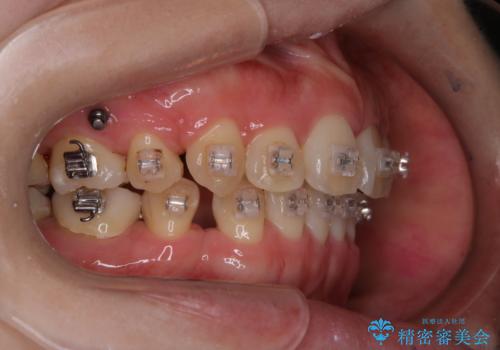
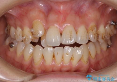
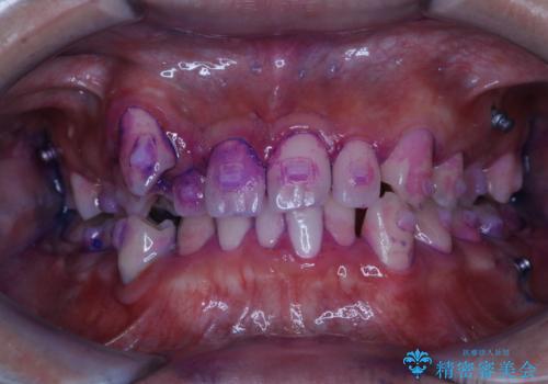
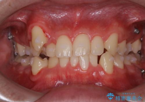
ワイヤー矯正中に歯の染め出し
担当医 歯科衛生士


インビザラインでのマウスピース矯正中に歯を白くしたい
担当医 歯科衛生士


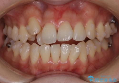
20代女性 ワイヤー矯正中にワイヤーを外してきれいにクリーニンング
担当医 歯科衛生士


矯正治療を終えてのクリーニング
担当医 歯科衛生士


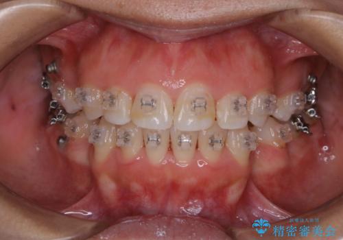
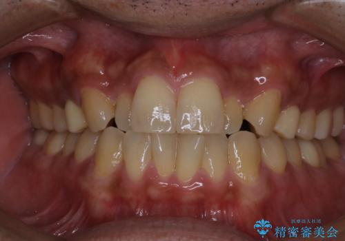
矯正中も定期的にクリーニングを
担当医 歯科衛生士


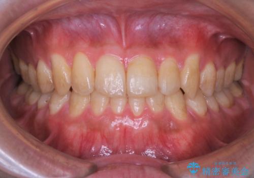
PMTCで笑った時の口元を自然に明るくしたい
担当医 歯科衛生士


invisalignの型取り前に歯のクリーニング
担当医 歯科衛生士


インビザライン中にステインを綺麗にOFF
担当医 歯科衛生士


マウスピース矯正終了後にPMTCでよりきれいな歯に
担当医 歯科衛生士


ホームホワイトニング用マウスピースを作成前にPMTC
担当医 歯科衛生士


歯と歯の間の色が気になる 1日で綺麗に落とす
担当医 歯科衛生士


インビザラインでのマウスピース矯正中にクリーニングで口臭予防
担当医 歯科衛生士


ハーフリンガルでのワイヤー矯正中にクリーニングで綺麗に
担当医 歯科衛生士


プロフェッショナルクリーニングの注意事項(リスク・副作用など)
- 歯を白くする目的の施術ではありません
- 保険適用外となります
