症例・治療例紹介
Cases
その他 → クリーニング(PMTC)
13ページ目 / 37
歯磨きをしても奥歯のザラつきが取れない
担当医 歯科衛生士


エアーフロー+オフィスホワイトニング
担当医 歯科衛生士


インビザライン中のエアーフロー
担当医 歯科衛生士


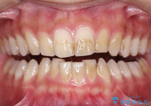
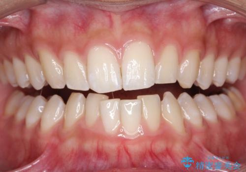
毎日コーヒーを飲む 歯を白くしたい
担当医 歯科衛生士


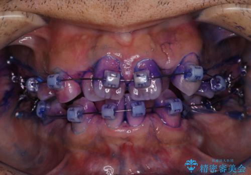
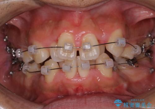
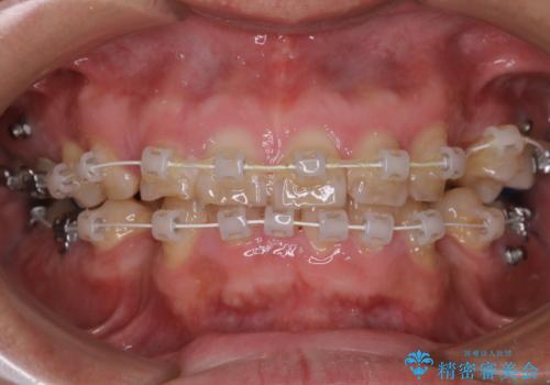
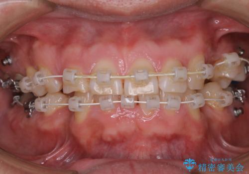
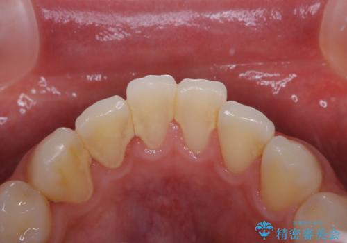
表のワイヤー装置で矯正中にPMTCで綺麗にお掃除
担当医 歯科衛生士


エアーフローでしつこい色素沈着やバイオフィルムを除去
担当医 歯科衛生士


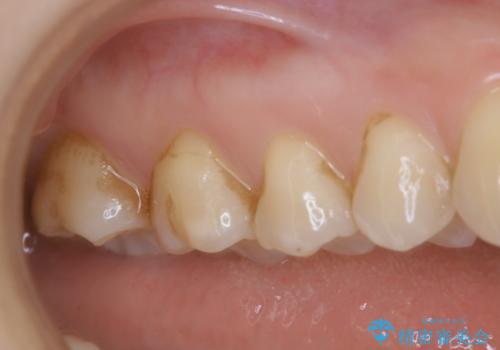
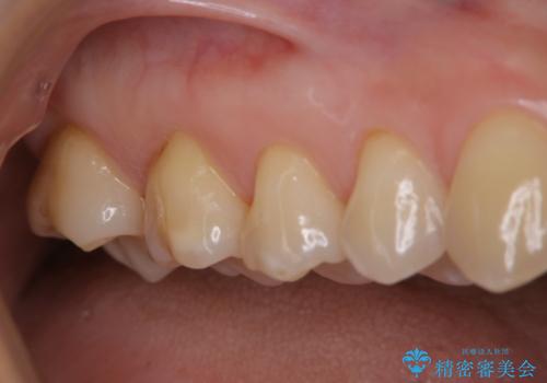
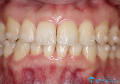
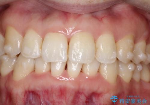
[エアフロー] スプレーの噴射によりしつこい色素沈着やプラークを除去
担当医 歯科衛生士
![[エアフロー] スプレーの噴射によりしつこい色素沈着やプラークを除去の症例 治療前](https://seimitsushinbi.jp/wp/wp-content/uploads/2021/11/IMG_9998-500x350.jpg?v=1636593297)
![[エアフロー] スプレーの噴射によりしつこい色素沈着やプラークを除去の症例 治療後](https://seimitsushinbi.jp/wp/wp-content/uploads/2021/11/IMG_0004-500x350.jpg?v=1636593307)
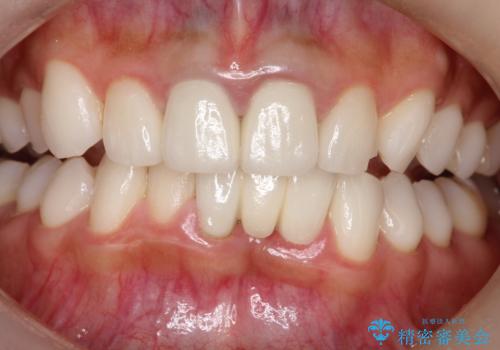
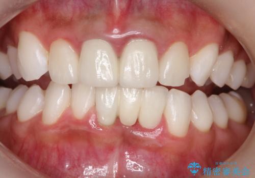
エアフローによるクリーニング
担当医 歯科衛生士


茶渋による着色と下の前歯の裏側のべったり歯石
担当医 歯科衛生士


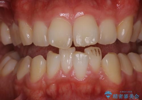
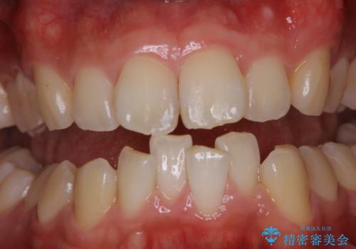
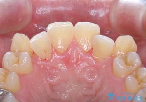
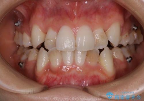
矯正治療中も歯の黄ばみをきれいにしたい
担当医 歯科衛生士


歯周病・虫歯・口臭などのトータルケア PMTC
担当医 歯科衛生士


虫歯ではなく、歯の着色
担当医 歯科衛生士


14年ぶりのクリーニング
担当医 歯科衛生士


20代女性 インビザラインでのマウスピース矯正中にPMTCできれいな口元に
担当医 歯科衛生士


治療中の仮歯もPMTCで白くきれいに
担当医 歯科衛生士


プロフェッショナルクリーニングの注意事項(リスク・副作用など)
- 歯を白くする目的の施術ではありません
- 保険適用外となります
