症例・治療例紹介
Cases
その他 → クリーニング(PMTC)
12ページ目 / 37
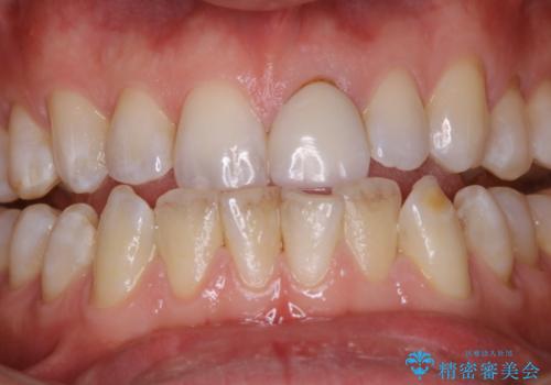
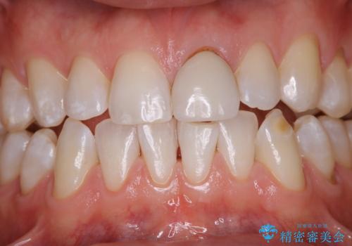
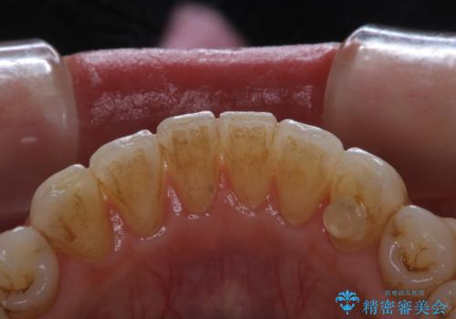
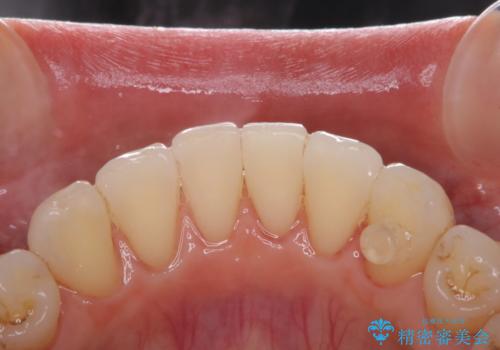
年末のお口の大掃除 PMTC
担当医 歯科衛生士


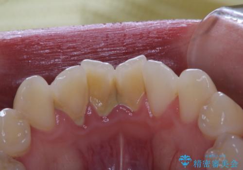
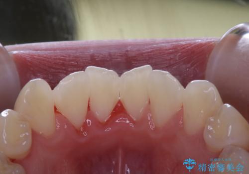
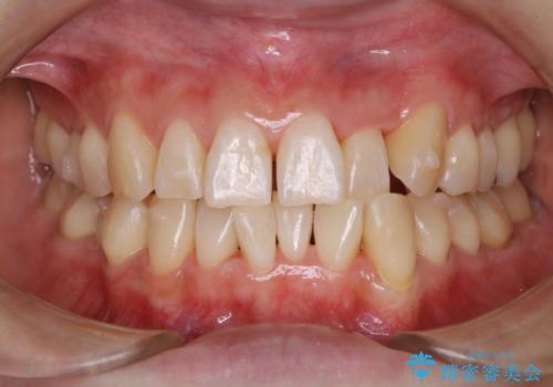
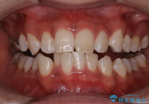
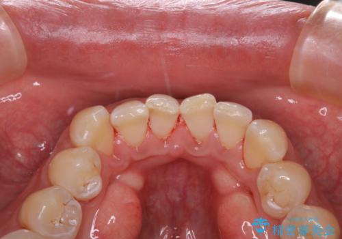
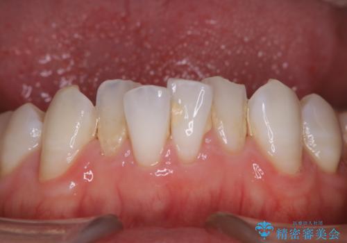
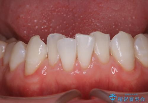
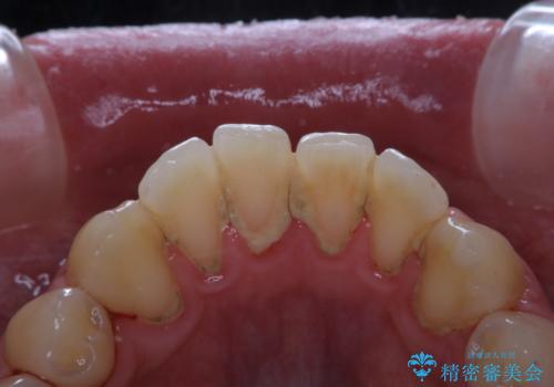
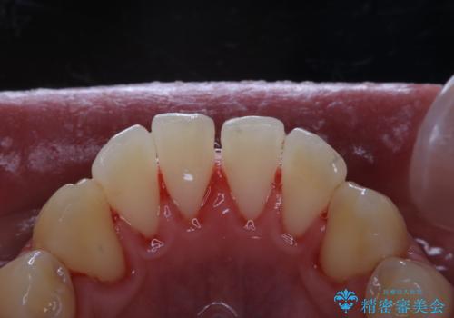
歯列矯正中にPMTC
担当医 歯科衛生士


口臭が気になるためPMTCで予防
担当医 歯科衛生士


オフィスホワイトニング スペシャルコース1回
担当医 歯科衛生士


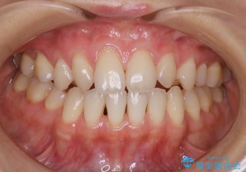
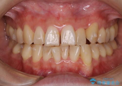
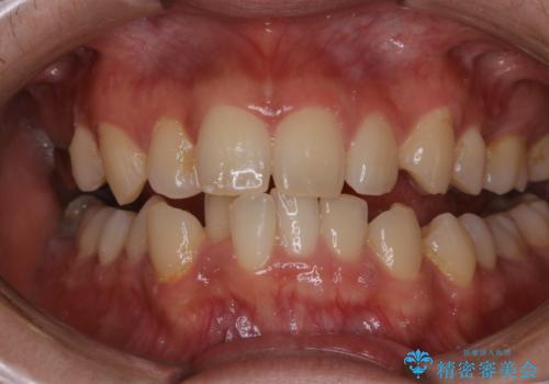
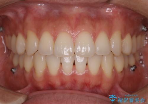
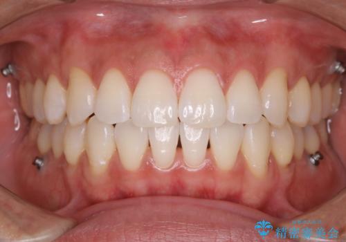
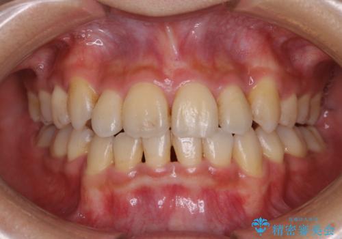
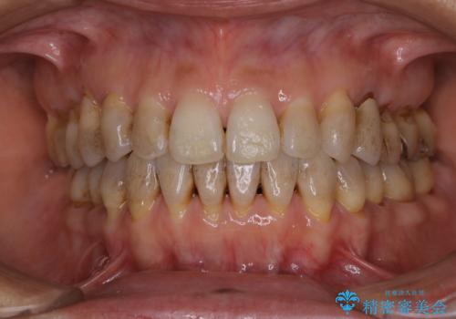
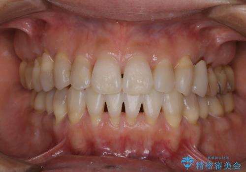
インビザラインの矯正中のクリーニング
担当医 歯科衛生士


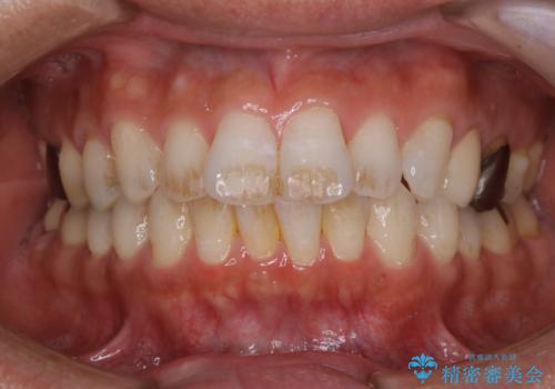
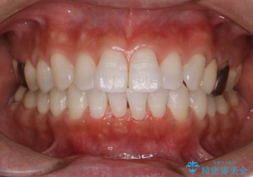
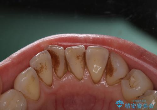
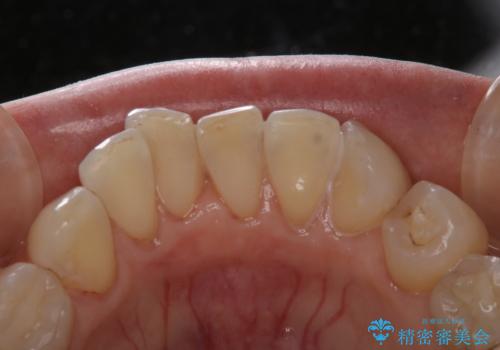
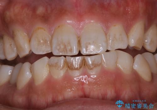
1年ぶりにコーヒーによる着色落とし PMTC
担当医 歯科衛生士


結婚式前にPMTCとホワイトニング
担当医 歯科衛生士


オフィスホワイトニング エクセレントコース
担当医 歯科衛生士


結婚式前に歯のクリーニンングで清潔感を!
担当医 歯科衛生士


大好きなブラックコーヒーによる歯の着色を綺麗にしたい
担当医 歯科衛生士


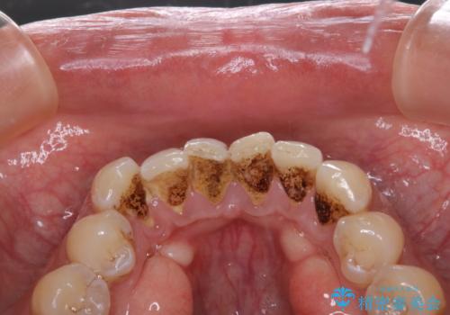
30代男性 PMTCで歯石取り
担当医 歯科衛生士


初めての着色落とし
担当医 歯科衛生士


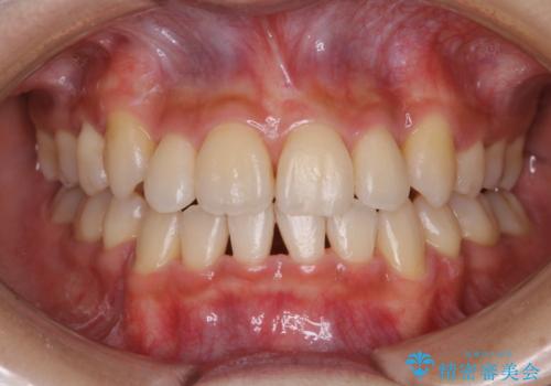
インビザラインの矯正中のクリーニング
担当医 歯科衛生士


人生初めて歯のクリーニング(PMTC)
担当医 歯科衛生士


PMTCをして1日で真っ白なピカピカな歯に!
担当医 歯科衛生士


プロフェッショナルクリーニングの注意事項(リスク・副作用など)
- 歯を白くする目的の施術ではありません
- 保険適用外となります
