症例詳細
Case detail
【根管治療】噛んだ時にしみる。最近になってズキズキ痛み、長引く痛みがある
治療症例の内容
- 診療科目
- 治療カテゴリ
- 担当医
- 河口智英(ドクタープロフィール)
- 患者様
- 50代男性
- 治療期間
- 2ヶ月
- 治療回数
- 2-5回
- 治療計画
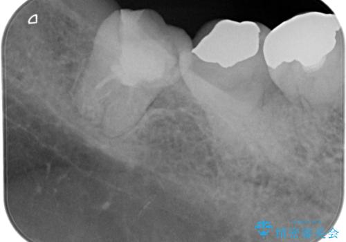
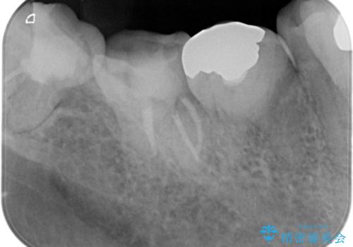
- 噛んだ時にしみる。最近になってズキズキ痛み、長引く痛みがある。とのことで来院されました。
検査結果にて不可逆性歯髄炎の診断を行いました。
顕微鏡にて虫歯を取り除くと、深いクラックラインを認めることができ、クラックラインを全て除去し抜髄処置を行いました。
- 費用(概算)
- 12万円費用は治療当時の料金となります
治療について
当院での根管治療は再発を防ぐため、自費治療をご提案しております。
根管治療の注意事項(リスク・副作用など)
- 根管治療により類似の全ての症例の問題が解決するわけではなく、症例はあくまでも一例です
- 根管治療により痛みや腫れがひかない事や、術後に痛みや腫れが生じる事、治療によるファイル破折やパーフォレーションなどの偶発症、術後の歯根破折を生じる可能性もあります
- 自費診療(保険適用外)となります
当サイトの内容、テキスト、画像等の無断転載、複製、複写、盗用を固く禁じます。










