症例詳細
Case detail
親知らずを抜きたい
治療症例の内容
- 診療科目
- 治療カテゴリ
- 担当医
- 岡田康成(ドクタープロフィール)
- 患者様
- 10代女性
- 治療期間
- 1ヶ月
- 治療回数
- 2-5回
- 治療計画
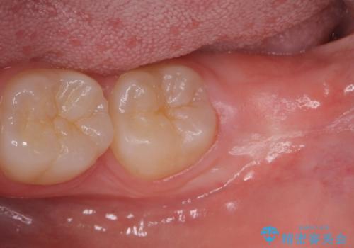
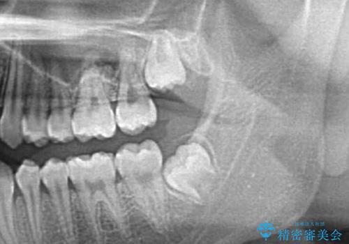
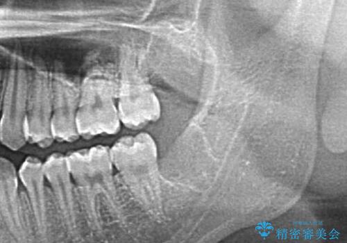
- 親知らずの抜歯希望で来院されました。
左側の親知らずを上下同時に抜いていきます。
時間は約60分で施術しました。
- 費用(概算)
- 保険適応費用は治療当時の料金となります
治療について
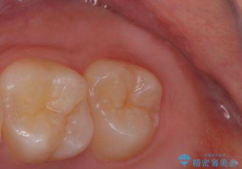
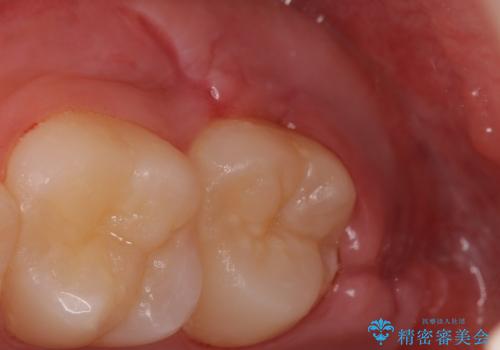
親知らずは入院せずとも通院で片側上下同時に抜くことが可能です。
手前の歯の虫歯リスクを下げるためにも、骨から出てきた親知らずは抜くことをお勧めします。
また術後丁寧に縫合をすることで治癒後の歯茎の状態もきれいにすることができます。
外科処置の注意事項(リスク・副作用など)
- 外科手術のため、術後に出血、痛みや腫れ、違和感を伴います
- 口腔内の状態によっては適応できないことがあります
当サイトの内容、テキスト、画像等の無断転載、複製、複写、盗用を固く禁じます。















