症例詳細
Case detail
【VPT(歯髄温存療法)とセラミックインレー】深い虫歯でも神経を残したい
治療症例の内容
- 診療科目
- 治療カテゴリ
- 担当医
- 河野豊嘉(ドクタープロフィール)
- 患者様
- 30代女性
- 治療期間
- 1ヶ月
- 治療回数
- 2-5回
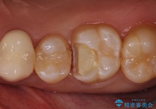
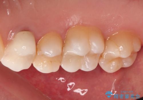
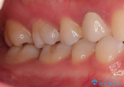
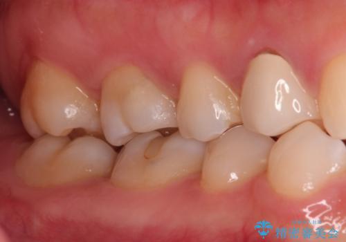
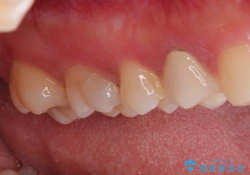
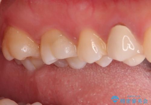
- 治療計画
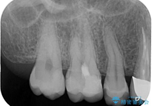
- 虫歯が大きく神経まで達していたので、VPT(歯髄温存療法)を行って細菌感染した部分の神経のみ取り除き、保存可能な神経は保存し被せ物はセラミックインレーで治療を行いました。
- 費用(概算)
- 121,000円(VPT:44,000円 セラミックインレー:77,000円)費用は治療当時の料金となります
治療について
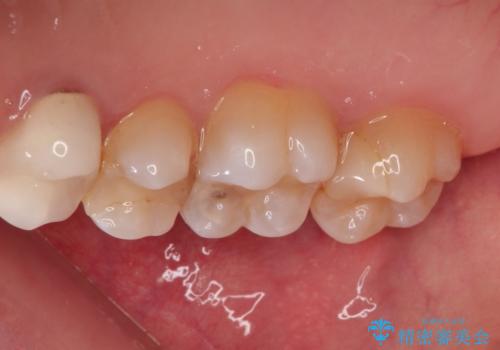
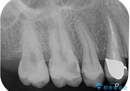
昔の歯科医療では神経まで虫歯が達している場合は神経を全て取らなければいけませんでした。しかし現代の歯科医療ではBio-C SealerやMTAセメントの開発により健康な神経を残せるようになりました。
Bio-C Sealerを塗布後、神経に優しい光重合型充填用レジン強化グラスアイオノマーセメントで裏層を行っています。
※術前に神経の状態の検査を行い、術中にもマイクロスコープにて神経の状態を直接確認したうえで残せると判断した場合に行っています。
術中は唾液が入らないようラバーダムシートをかけています。
セラミック治療の注意事項(リスク・副作用など)
- 天然歯を削ります
- 硬い素材は天然歯を傷つけてしまう場合があります
- かみ合わせや歯ぎしりが強すぎる方はセラミックが割れてしまう可能性があります
- 自費診療(保険適用外治療)となります
根管治療の注意事項(リスク・副作用など)
- 根管治療により類似の全ての症例の問題が解決するわけではなく、症例はあくまでも一例です
- 根管治療により痛みや腫れがひかない事や、術後に痛みや腫れが生じる事、治療によるファイル破折やパーフォレーションなどの偶発症、術後の歯根破折を生じる可能性もあります
- 自費診療(保険適用外)となります
当サイトの内容、テキスト、画像等の無断転載、複製、複写、盗用を固く禁じます。

















