症例詳細
Case detail
20代男性 セラミックインレーによる歯の形態修復
治療症例の内容
- 診療科目
- 治療カテゴリ
- 担当医
- 患者様
- 20代男性
- 治療期間
- 1ヶ月
- 治療回数
- 2-5回
- 治療計画
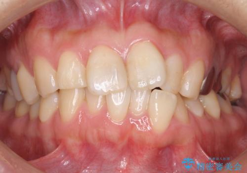
- 歯の形そのものを変えるにはクラウン(被せもの)が一番有効ですが、歯の削る量とのバランスをみて、セラミックインレーで可及的な形態回復をします。
- 費用(概算)
- 7万円費用は治療当時の料金となります
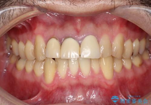
治療について
他院にて矯正中、歯の生理的な形態を考えないディスキング(歯のサイズダウン)をされ、いびつな形態となっていた歯を、セラミックインレーにて形態回復しました。
本来ディスキングは歯の生理的な形態を保ちつつその幅を少なくしなくてはならないため、極めて習熟された一般診療の技術が必要となりますが、多くの矯正医がそれをおろそかにしています。
詰め物の種類:e.max プレスインレー
セラミック治療の注意事項(リスク・副作用など)
- 天然歯を削ります
- 硬い素材は天然歯を傷つけてしまう場合があります
- かみ合わせや歯ぎしりが強すぎる方はセラミックが割れてしまう可能性があります
- 自費診療(保険適用外治療)となります
当サイトの内容、テキスト、画像等の無断転載、複製、複写、盗用を固く禁じます。




