症例詳細
Case detail
下の歯のがたつき 上より気になる
治療症例の内容
- 診療科目
- 担当医
- 井上季実子(ドクタープロフィール)
- 患者様
- 20代女性
- 矯正装置
- インビザライン
- 治療期間
- 1年
- 治療回数
- 10-30回
- 治療計画
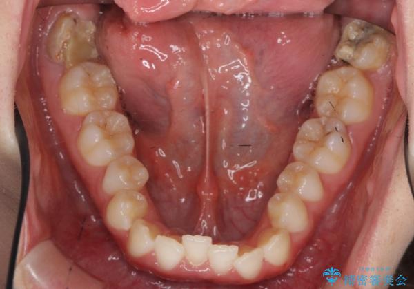
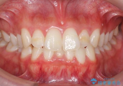
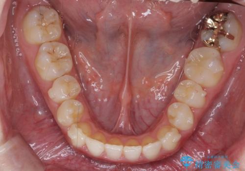
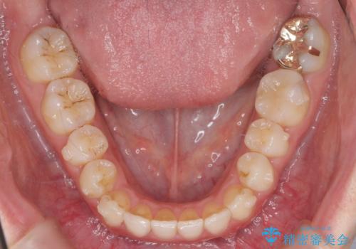
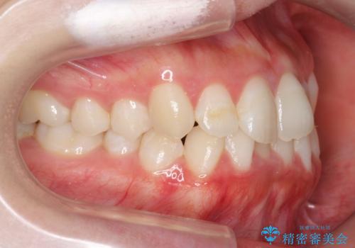
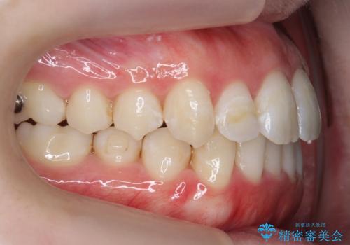
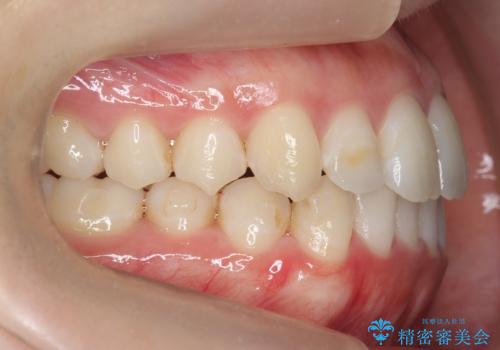
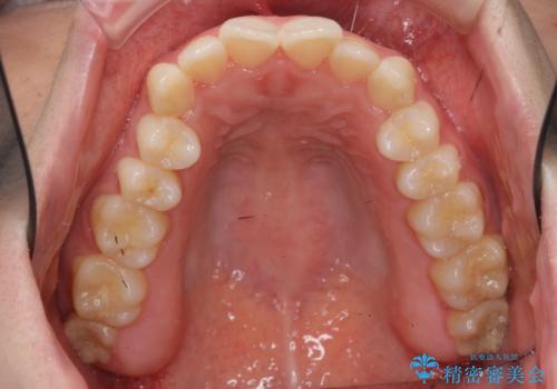
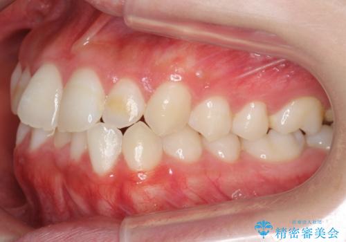
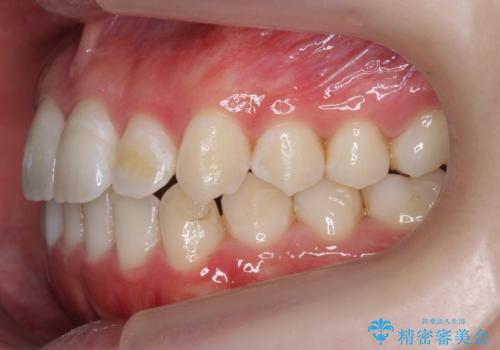
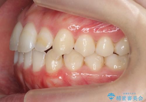
- 前歯のがたつきが気になって来院。
 
 下の歯のがたつきが上よりも多い状態でした。
 
 下の前歯は上の歯の内側にあるため、外に並べることができないため、上ほど簡単ではありません。
 すき間をしっかりとって並べる必要があります。
 今回は、下の歯を健康に支障が出ない範囲でわずかに削合し、並べるようにしました。(ディスキングといいます)
- 費用(概算)
- 88万円費用は治療当時の料金となります
治療について
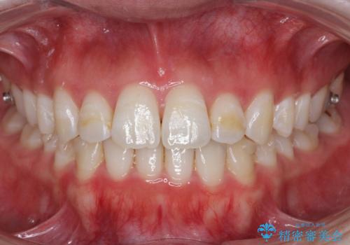
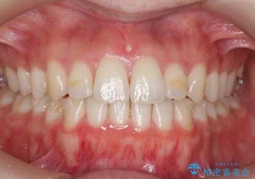
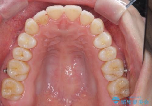
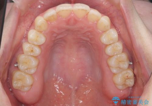
前歯のがたつきもしっかり治り、喜んでいただけました。
下の親知らずは虫歯になっていたため矯正前に抜歯しています。
マウスピース矯正の注意事項(リスク・副作用など)
- 口腔内・歯並びの状態によっては対応できない場合があります
- マウスピース型矯正装置の長時間装着(1日20時間以上)が必須です
- 治療計画通りに進めるためには、患者様の意志が重要になります
- 矯正治療後の保定が不十分だと後戻り(元の位置に戻ろうとする動き)をします
- 薬機法対象外の矯正歯科装置のため医薬品副作用被害救済制度の対象外となる場合があります
- 自費診療(保険適用外)となります
当サイトの内容、テキスト、画像等の無断転載、複製、複写、盗用を固く禁じます。








 
                       
                                                          




















 
                   
                   
                  