症例詳細
Case detail
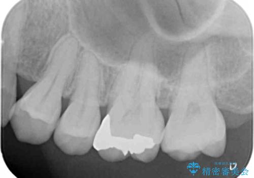
歯と歯の間の虫歯 ゴールドインレーでの修復
治療症例の内容
- 診療科目
- 治療カテゴリ
- 担当医
- 岡田康成(ドクタープロフィール)
- 患者様
- 30代女性
- 治療期間
- 1ヶ月
- 治療回数
- 2-5回
- 治療計画
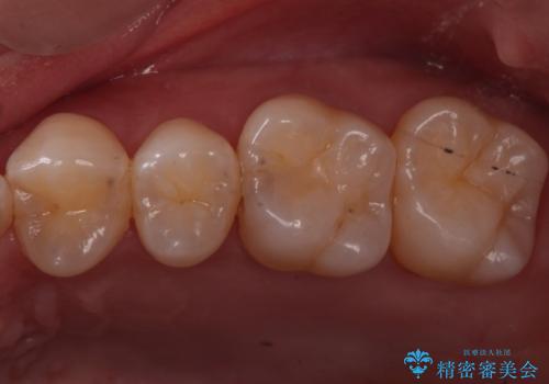
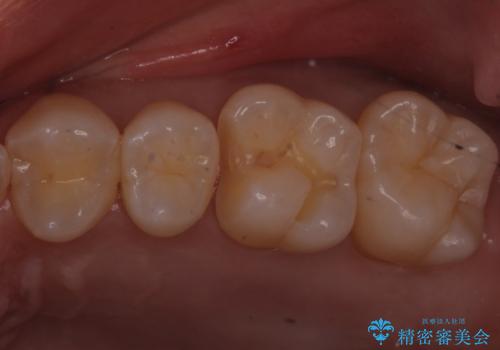
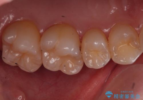
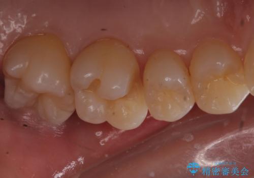
- フロスがよく詰まるところがあるとのことで来院されました。
検査の結果、左上の奥歯に虫歯があることが確認されました。
見た目よりも精度を優先したいとのことだったため、ゴールドインレーでの修復処置を行いました。
- 費用(概算)
- 左上6 ゴールドインレー 77,000円費用は治療当時の料金となります
治療について
ゴールドの修復物は高い精度を出すことができるため非常に適合の良いものを装着することができます。
インプラント治療の注意事項(リスク・副作用など)
- 外科手術のため、術後に痛みや腫れ、違和感を伴います
- メンテナンスを怠ったり喫煙により、お口の中に大きな悪影響を及ぼすインプラント周囲炎等にかかる可能性があります
- 糖尿病、肝硬変、心臓病等の場合、インプラント治療ができない可能性があります
- 高血圧、貧血・不整脈等の場合、インプラント治療後に治癒不全を招く可能性があります
- 自費診療(保険適用外治療)となります
当サイトの内容、テキスト、画像等の無断転載、複製、複写、盗用を固く禁じます。








