症例詳細
Case detail
矯正治療で退縮してしまった歯肉 歯肉移植で自然な前歯に
治療症例の内容
- 診療科目
- 治療カテゴリ
- 担当医
- 藤巻太一朗(ドクタープロフィール)
- 患者様
- 20代女性
- 治療期間
- 3ヶ月
- 治療回数
- 5-10回
- 治療計画
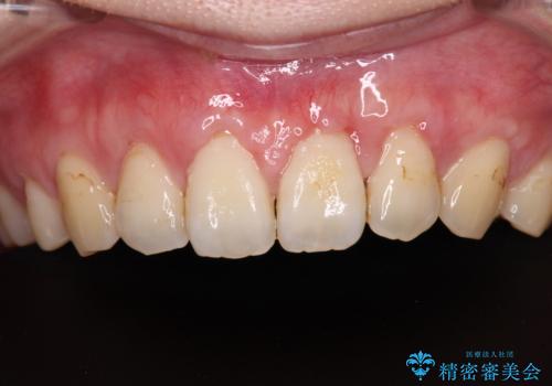
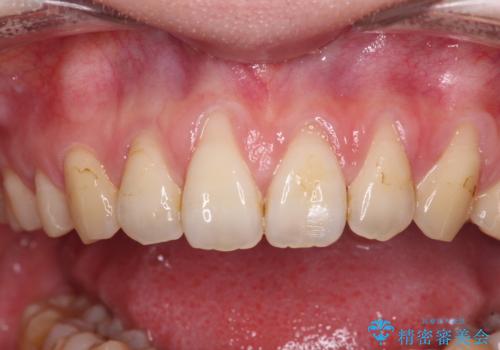
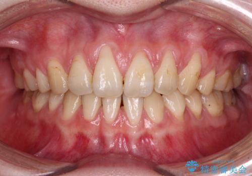
- 他院で矯正治療を終えた結果、上顎前歯の歯肉が退縮してしまい、根が見えていることが気になるとのことで来院された患者様です。
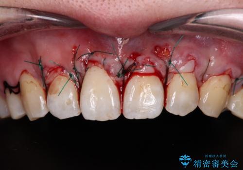
歯肉退縮に対して、上顎からの結合組織移植術(CTG)により、歯根の被覆を行うとともに、歯肉の厚みを増すことで将来の退縮リスクを抑制することとしました。
抜歯矯正を行ったため、採取可能な歯肉の量が少なくなるため、被覆量が不十分の場合には、追加で手術を行うことで患者様の了解を得ました。
- 費用(概算)
- 治療費の目安: 33万円(税込)費用は治療当時の料金となります
治療について
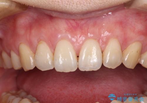
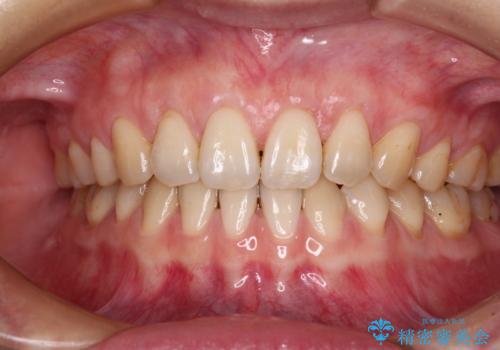
必要な被覆量が多かったため、満足のいく被覆を達成するには2度の手術が必要と思われましたが、生着がよく、術後の注意事項を徹底したことで、十分な被覆量を達成することができました。
歯周病治療の注意事項(リスク・副作用など)
- 外科手術のため、術後に痛みや腫れ、違和感を伴います
- 歯周組織再生治療は患者様の状態によって術後の経過が異なります(見た目が改善しない場合もあります)
- 歯周組織再生治療は自費診療(保険適用外)となります
当サイトの内容、テキスト、画像等の無断転載、複製、複写、盗用を固く禁じます。











