症例詳細
Case detail
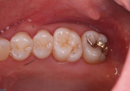
奥歯の深くて確認しにくい虫歯 ゴールドインレーでの治療
治療症例の内容
- 診療科目
- 治療カテゴリ
- 担当医
- 岡田康成(ドクタープロフィール)
- 患者様
- 40代女性
- 治療期間
- 1ヶ月
- 治療回数
- 2-5回
- 治療計画
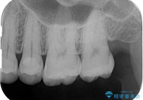
- 検査の結果、左上の一番奥の歯のさらに奥の面の深い位置に虫歯が潜んでいることを確認しました。
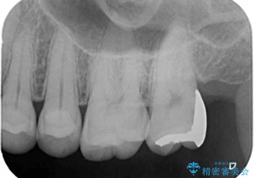
外から見えない位置であるため、セラミックよりも精度を上げることができるゴールド(PGAインレー)で修復していきます。
- 費用(概算)
- 左上7 ゴールドインレー 77,000円費用は治療当時の料金となります
治療について
昔親知らずが埋まっていた場所にできてしまった虫歯であるためかなり深い位置に潜り込むような虫歯でした。
このような虫歯でも丁寧に処置することで問題なく適合の良いインレーを入れることができます。
PGA(ゴールド)クラウン、インレーの注意事項(リスク・副作用など)
- インレーおよびクラウンは脱離するリスクがあります
- 形成量はセラミックより少ないですが、歯の形成、修復後に歯に症状が出ることがあります
- 自費診療(保険適用外治療)となります
当サイトの内容、テキスト、画像等の無断転載、複製、複写、盗用を固く禁じます。











