症例詳細
Case detail
目立つ八重歯の歯ぐきのさがり 根面被覆による改善
治療症例の内容
- 診療科目
- 治療カテゴリ
- 担当医
- 大元洋佑(ドクタープロフィール)
- 患者様
- 20代女性
- 治療期間
- 1ヶ月
- 治療回数
- 2-5回
- 治療計画
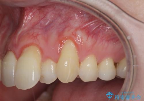
- 長年気になっていた歯ぐきのさがり(歯肉退縮)の相談で来院されました。
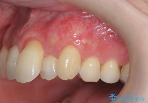
ブラッシング指導をまず行い、硬すぎる歯ブラシを使用しないこと、歯ブラシの当て方を確認しました。
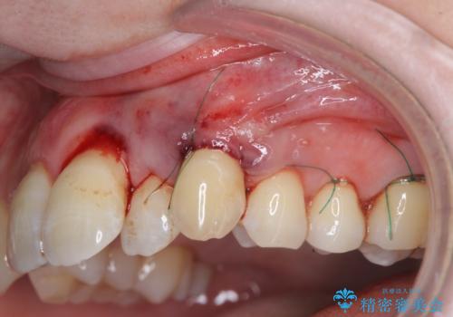
プラークコントロールが十分に行えるようになったのち、結合組織移植を用いた根面被覆手術を行います。
- 費用(概算)
- 16.5万円 (根面被覆術 静脈麻酔含む)費用は治療当時の料金となります
治療について
手術は静脈内麻酔下で行いほとんど記憶もない状態で終えることができます。
良好な結果が得られ、大変満足いただくことができました。
外科処置の注意事項(リスク・副作用など)
- 外科手術のため、術後に出血、痛みや腫れ、違和感を伴います
- 口腔内の状態によっては適応できないことがあります
当サイトの内容、テキスト、画像等の無断転載、複製、複写、盗用を固く禁じます。





