症例詳細
Case detail
インビザライン単独でここまでできる!!抜歯矯正
治療症例の内容
- 診療科目
- 治療カテゴリ
- 担当医
- 患者様
- 20代男性
- 矯正装置
- インビザラインFULL
- 治療期間
- 3年
- 治療回数
- 10-30回
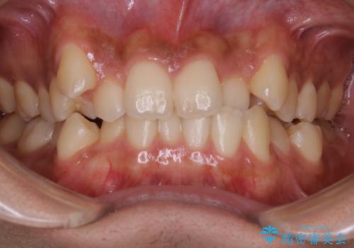
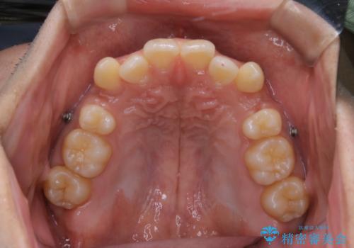
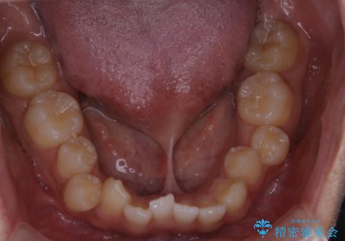
- 治療計画
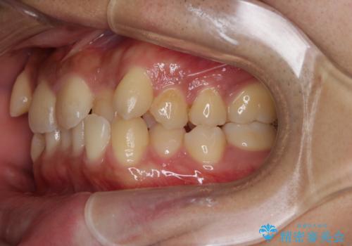
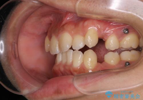
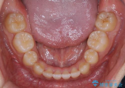
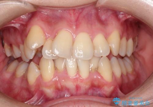
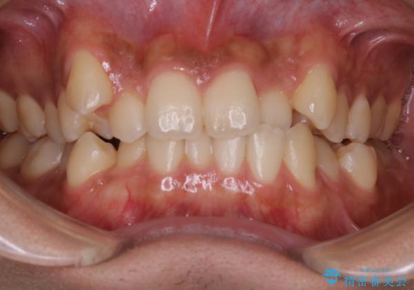
- マウスピースによる矯正治療をご希望された方です。歯のガタつきが大きかったため、ワイヤーによる抜歯矯正をご提案しました。どうしてもマウスピースが良いとの強いご希望があったため、治療の途中でワイヤー治療に切り替える可能性もあることを十分ご理解いただいた上でインビザラインによる抜歯矯正治療を行いました。
- 費用(概算)
- 105万円(税込み)費用は治療当時の料金となります
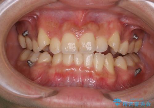
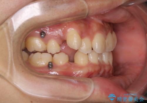
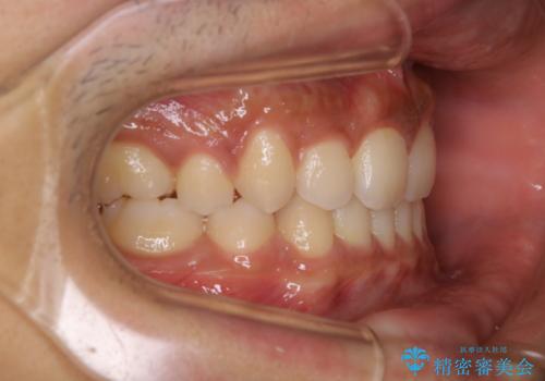
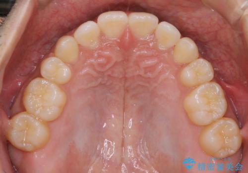
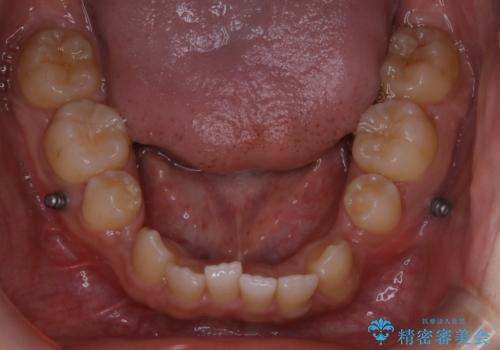
治療について
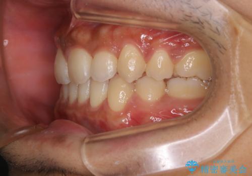
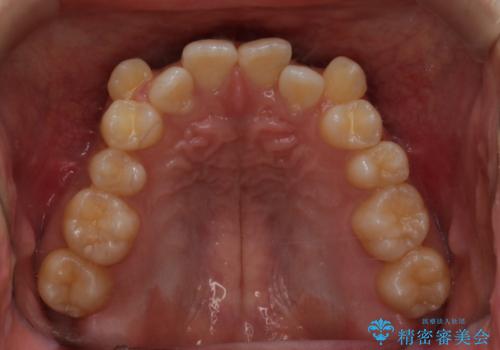
1日20時間以上、正しくインビザラインを使用して頂いたおかげで、ワイヤーに切り替えることなく矯正治療を終了することが出来ました。周囲からも歯並びがすごく綺麗になったと言われたのことで大変ご満足いただけました。
マウスピース矯正の注意事項(リスク・副作用など)
- 口腔内・歯並びの状態によっては対応できない場合があります
- マウスピース型矯正装置の長時間装着(1日20時間以上)が必須です
- 治療計画通りに進めるためには、患者様の意志が重要になります
- 矯正治療後の保定が不十分だと後戻り(元の位置に戻ろうとする動き)をします
- 薬機法対象外の矯正歯科装置のため医薬品副作用被害救済制度の対象外となる場合があります
- 自費診療(保険適用外)となります
当サイトの内容、テキスト、画像等の無断転載、複製、複写、盗用を固く禁じます。



















