症例詳細
Case detail
歯が黒くて虫歯じゃないかと心配して来院
治療症例の内容
- 診療科目
- 治療カテゴリ
- 担当医
- 青山卓弘(ドクタープロフィール)
- 患者様
- 50代女性
- 治療期間
- 1ヶ月
- 治療回数
- 2-5回
- 治療計画
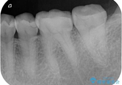
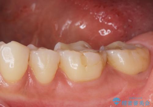
- 歯が黒くて虫歯じゃないかと心配して来院。
過去にプラスチックの樹脂で治療されており、歯とプラスチックの隙間から虫歯が進行していました。
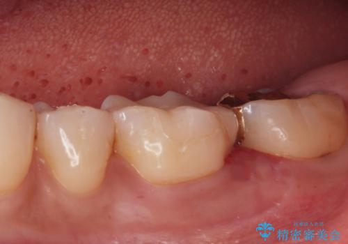
拡大鏡下で虫歯を除去し、詰め物にて治療しました。
一番奥の歯は歯の高さが足りない、噛む面を覆う面が広くなってしまい、セラミックの詰め物だと割れるリスクが高くなってしまうので手前はセラミックインレー奥の歯はゴールドインレーにて治療しました。
- 費用(概算)
- e-maxインレー ゴールドインレー 15.4万費用は治療当時の料金となります
治療について
プラスチックの樹脂は吸水性があり、経年劣化しやすくて
虫歯の再発のリスクが高いです。
プラスチックで治療されている歯は定期的に虫歯げできてないかチェックする必要があります。
セラミック治療の注意事項(リスク・副作用など)
- 天然歯を削ります
- 硬い素材は天然歯を傷つけてしまう場合があります
- かみ合わせや歯ぎしりが強すぎる方はセラミックが割れてしまう可能性があります
- 自費診療(保険適用外治療)となります
その他の注意事項(リスク・副作用など)
- 担当歯科医師、歯科衛生士又は医院スタッフから受けた説明・注意事項をよくご確認ください
- 医療を提供するに当たり、適切な説明を行い、患者様の十分な理解を得るよう努めております
当サイトの内容、テキスト、画像等の無断転載、複製、複写、盗用を固く禁じます。








