症例詳細
Case detail
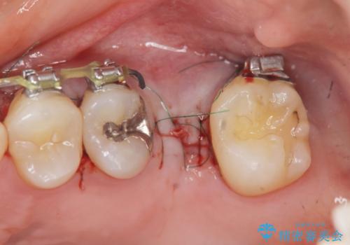
他院での矯正治療中 ソケットリフトを伴うインプラント治療依頼
治療症例の内容
- 診療科目
- 治療カテゴリ
- 担当医
- 大元洋佑(ドクタープロフィール)
- 患者様
- 40代女性
- 治療期間
- 8ヶ月
- 治療回数
- 5-10回
- 治療計画
- 他院での矯正治療中、欠損した左上奥歯のインプラント治療を希望され来院されました。
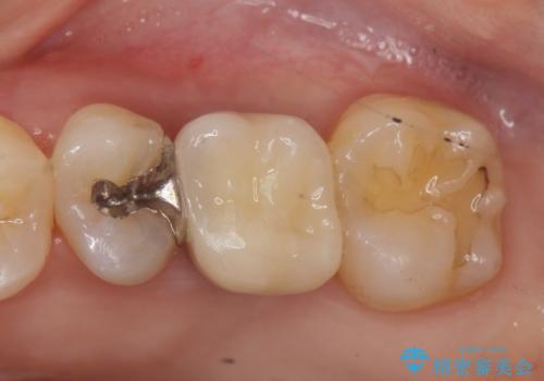
最終的な歯の位置を矯正の担当医と綿密に相談しながら、インプラントの埋入部位を決定し治療にあたりました。
骨量が少なかったことから、上顎洞内へのソケットリフト方をインプラント埋入と同時に施行しています。
- 費用(概算)
- 51.4万円(ストローマンインプラント・ソケットリフト・仮歯・カスタムアバットメント・ジルコニアクラウン)費用は治療当時の料金となります
治療について
矯正治療により最終的な歯のポジションは動いてしまうことからインプラント埋入部位を綿密に検討する必要があります。
インプラント治療の注意事項(リスク・副作用など)
- 外科手術のため、術後に痛みや腫れ、違和感を伴います
- メンテナンスを怠ったり喫煙により、お口の中に大きな悪影響を及ぼすインプラント周囲炎等にかかる可能性があります
- 糖尿病、肝硬変、心臓病等の場合、インプラント治療ができない可能性があります
- 高血圧、貧血・不整脈等の場合、インプラント治療後に治癒不全を招く可能性があります
- 自費診療(保険適用外治療)となります
当サイトの内容、テキスト、画像等の無断転載、複製、複写、盗用を固く禁じます。










