症例詳細
Case detail
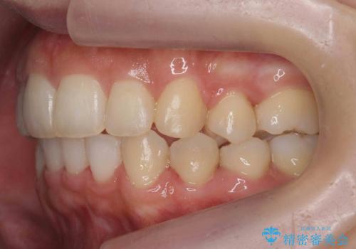
前歯がでている 最小限の抜歯で口を閉じやすく
治療症例の内容
- 診療科目
- 治療カテゴリ
- 担当医
- 井上季実子(ドクタープロフィール)
- 患者様
- 20代女性
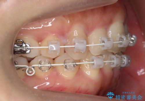
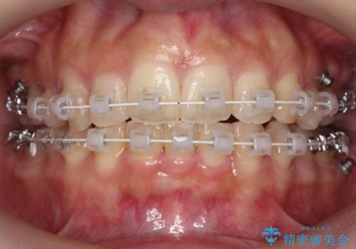
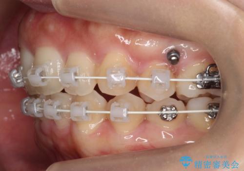
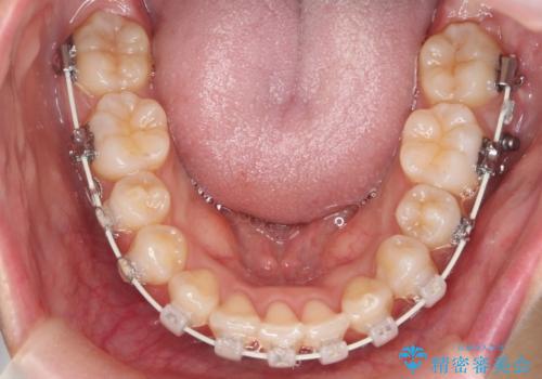
- 矯正装置
- ワイヤー矯正
- 治療期間
- 2年4ヶ月
- 治療回数
- 10-30回
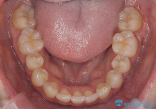
- 治療計画
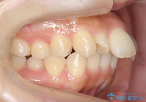
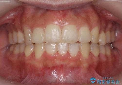
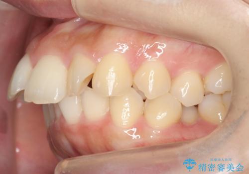
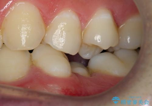
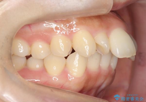
- 出っ歯を主訴に来院。
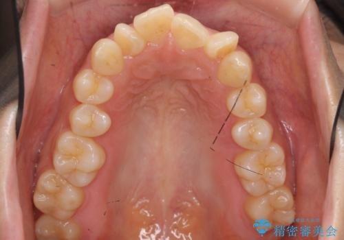
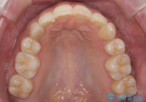
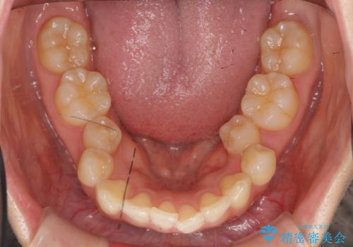
上下のかみ合わせが1本分左右ともずれていました。
①上下左右合計4本抜歯(口元は一番下がるプラン、上の奥歯をさらに後ろに下げる必要があるため②より時間がかかる、上下正中は合う)
②上の歯を2本抜歯、下の歯は前歯1本と最小限の抜歯(矯正治療は早く終わる、口元は下がる、抜歯は3本、上下の正中は合わない)
を提示し、
②を選択されました。
- 費用(概算)
- 121万円費用は治療当時の料金となります
治療について
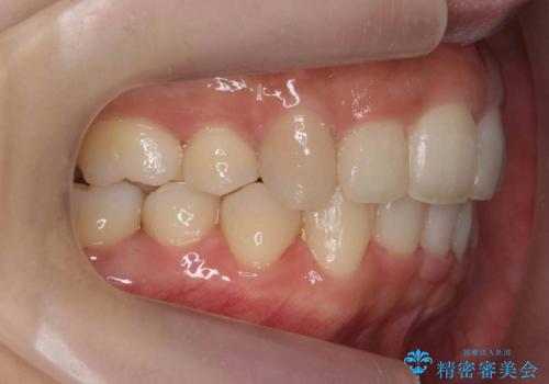
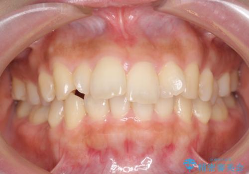
下顎がとても小さく後方位であるため、オトガイの閉口時のシワは完全になくすことは難しかったですが、前歯も大きく下がり満足していただきました。
矯正治療は審美的な側面を持っておりますが、小さすぎる下の顎に口元を無理やりあわせるのも、歯の移動量が大きすぎて適切な治療とは言えないと思います。健康を損なう美容整形とは違うからです。前歯については、適度に下げる量をコントロールすることも大事です。
ワイヤー矯正の注意事項(リスク・副作用など)
- 治療中は違和感や痛みが起こることがあります
- 症状により、抜歯が必要な場合があります
- 治療中は歯磨きがしにくくなるため、虫歯や歯周病になりやすくなります
- 矯正治療後の保定が不十分だと後戻り(元の位置に戻ろうとする動き)をします
- 自費診療(保険適用外)となります
当サイトの内容、テキスト、画像等の無断転載、複製、複写、盗用を固く禁じます。





















