症例詳細
Case detail
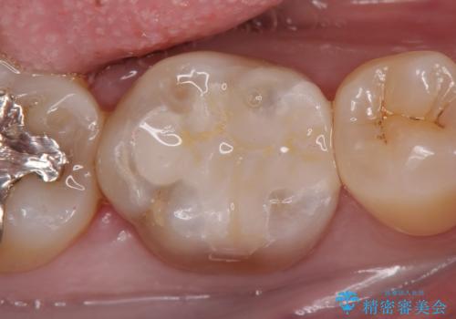
40代女性 歯の高さが全然無い ブリッジの製作
治療症例の内容
- 担当医
- 患者様
- 40代女性
- 治療期間
- 8ヶ月
- 治療回数
- 5-10回
- 治療計画
- 他院にて根管治療済の歯を、補綴依頼で来院
→歯冠長延長および角化歯肉移植の施術
→ブリッジの製作へ
- 費用(概算)
- 約35万円費用は治療当時の料金となります
治療について
根管治療専門の医院にて処置後、被せもののの製作依頼で来院されました。土台の歯の高さがあまりに低く、しかも周りには粘膜しかない状態でした。このままではペラペラな被せものしか作れず、長期的な予後は見込めません。
歯冠長延長術と角化歯肉の移植を行い、土台の歯に十分な高さを与えると共に周囲に丈夫な歯ぐきを整え、より長期にわたって使っていけるブリッジを製作することができました。
被せものの種類:高透過フルジルコニア ベレッツァ
セラミック治療の注意事項(リスク・副作用など)
- 天然歯を削ります
- 硬い素材は天然歯を傷つけてしまう場合があります
- かみ合わせや歯ぎしりが強すぎる方はセラミックが割れてしまう可能性があります
- 自費診療(保険適用外治療)となります
歯周病治療の注意事項(リスク・副作用など)
- 外科手術のため、術後に痛みや腫れ、違和感を伴います
- 歯周組織再生治療は患者様の状態によって術後の経過が異なります(見た目が改善しない場合もあります)
- 歯周組織再生治療は自費診療(保険適用外)となります
当サイトの内容、テキスト、画像等の無断転載、複製、複写、盗用を固く禁じます。















