症例詳細
Case detail
銀の詰め物を白くしたい。
治療症例の内容
- 診療科目
- 治療カテゴリ
- 担当医
- 青山卓弘(ドクタープロフィール)
- 患者様
- 20代女性
- 治療期間
- 1ヶ月
- 治療回数
- 2-5回
- 治療計画
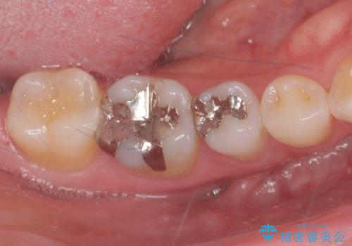
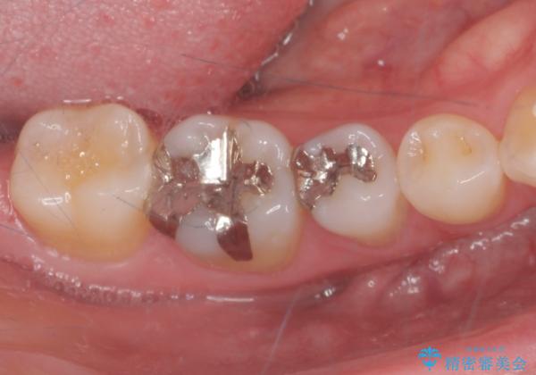
- 銀が目立つのがやだとの事で来院。
二つとも一緒に治療可能だが、まずは一箇所とのご希望だったので
一つずつ治療を行うことにしました。
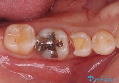
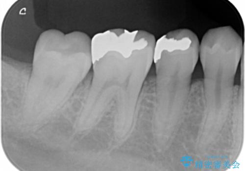
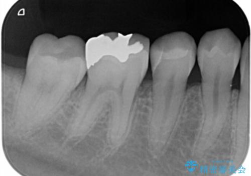
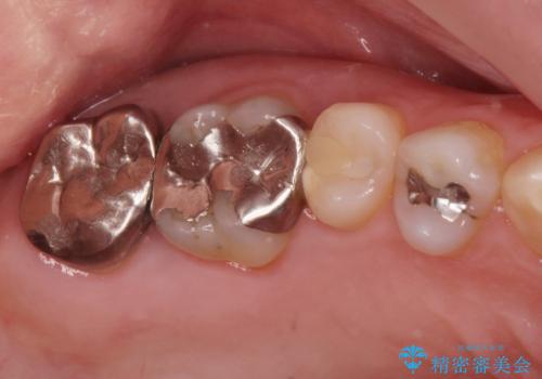
銀の詰め物を外し、拡大鏡で虫歯がないか確認してe-maxインレーで治療をしました。
- 費用(概算)
- e-maxインレー 7.7万円 費用は治療当時の料金となります
治療について
白い詰め物が入り、大変満足して頂けました。
もう一つの歯も今後治療をしていきたいそうです。
セラミック治療の注意事項(リスク・副作用など)
- 天然歯を削ります
- 硬い素材は天然歯を傷つけてしまう場合があります
- かみ合わせや歯ぎしりが強すぎる方はセラミックが割れてしまう可能性があります
- 自費診療(保険適用外治療)となります
その他の注意事項(リスク・副作用など)
- 担当歯科医師、歯科衛生士又は医院スタッフから受けた説明・注意事項をよくご確認ください
- 医療を提供するに当たり、適切な説明を行い、患者様の十分な理解を得るよう努めております
当サイトの内容、テキスト、画像等の無断転載、複製、複写、盗用を固く禁じます。





