症例詳細
Case detail
下の歯の銀歯が目立つ
治療症例の内容
- 診療科目
- 治療カテゴリ
- 担当医
- 青山卓弘(ドクタープロフィール)
- 患者様
- 30代女性
- 治療期間
- 1ヶ月
- 治療回数
- 2-5回
- 治療計画
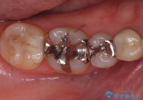
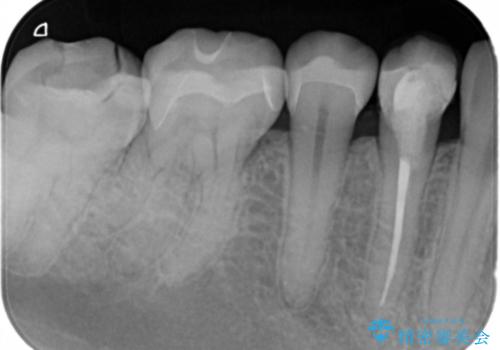
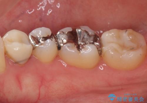
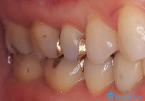
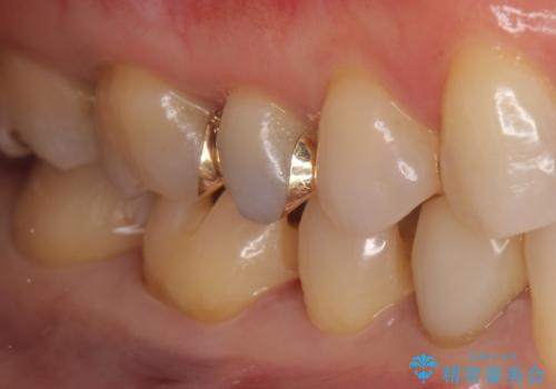
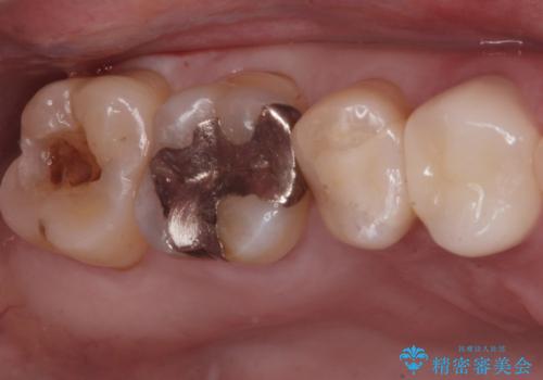
- 口を開けた時、銀の詰め物が目立つとのことで来院。
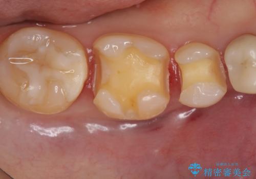
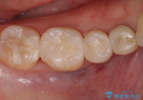
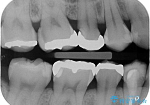
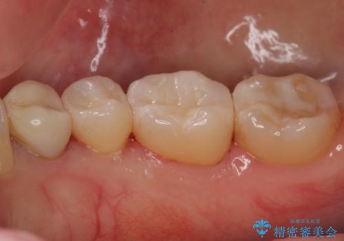
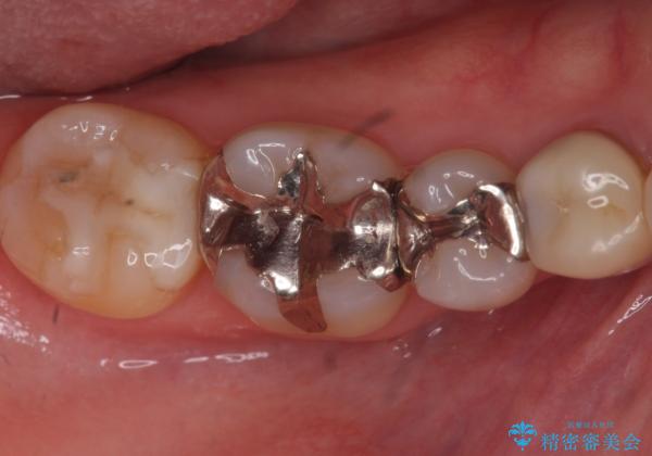
拡大鏡下で詰め物を外し、う蝕がない事を確認して、セラミック(e-maxインレー)で治療を行いました。
- 費用(概算)
- e-maxインレー 7.7万円×2本費用は治療当時の料金となります
治療について
銀の詰め物は歯質との間の隙間ができやすく
虫歯の再発リスクが高いです。
セラミックの詰め物(e-maxインレー)は歯質との隙間ができにくく
虫歯の再発リスクが低くなります。
口を開けた時、銀歯が目立たなくなり、大変満足して頂けました。
セラミック治療の注意事項(リスク・副作用など)
- 天然歯を削ります
- 硬い素材は天然歯を傷つけてしまう場合があります
- かみ合わせや歯ぎしりが強すぎる方はセラミックが割れてしまう可能性があります
- 自費診療(保険適用外治療)となります
その他の注意事項(リスク・副作用など)
- 担当歯科医師、歯科衛生士又は医院スタッフから受けた説明・注意事項をよくご確認ください
- 医療を提供するに当たり、適切な説明を行い、患者様の十分な理解を得るよう努めております
当サイトの内容、テキスト、画像等の無断転載、複製、複写、盗用を固く禁じます。










