症例詳細
Case detail
歯と歯の間の虫歯 セラミックインレーでの治療
治療症例の内容
- 診療科目
- 治療カテゴリ
- 担当医
- 岡田康成(ドクタープロフィール)
- 患者様
- 30代女性
- 治療期間
- 1ヶ月
- 治療回数
- 2-5回
- 治療計画
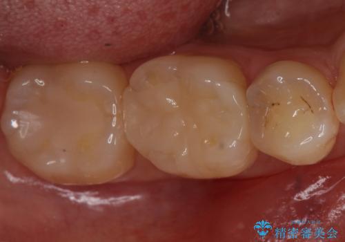
- 矯正後の検査で歯と歯の間の虫歯が確認された患者様です。
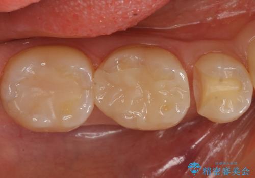
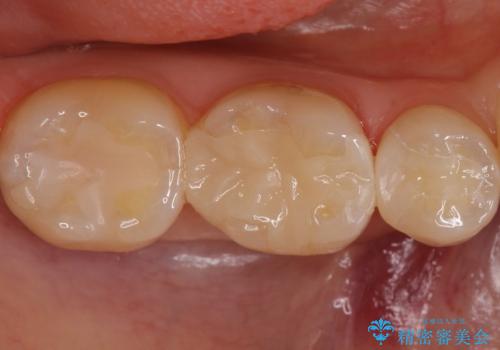
虫歯の除去後、セラミックインレーで修復していきます。
- 費用(概算)
- 右下5 セラミックインレー 77,000円費用は治療当時の料金となります
治療について
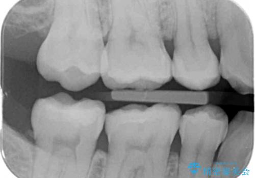
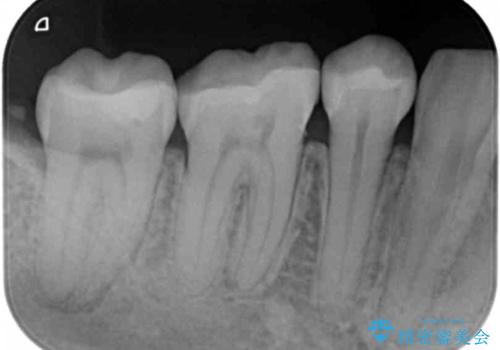
レントゲン画像からは読み取りづらいですが、視診にて歯の一部が黒く透けているのが確認できました。
小さな虫歯でも見落とさずに精度の良い修復をすることで二次う蝕のリスクを減らすことができます。
セラミック治療の注意事項(リスク・副作用など)
- 天然歯を削ります
- 硬い素材は天然歯を傷つけてしまう場合があります
- かみ合わせや歯ぎしりが強すぎる方はセラミックが割れてしまう可能性があります
- 自費診療(保険適用外治療)となります
当サイトの内容、テキスト、画像等の無断転載、複製、複写、盗用を固く禁じます。








