症例詳細
Case detail
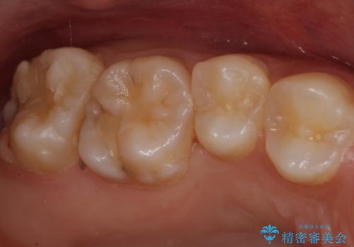
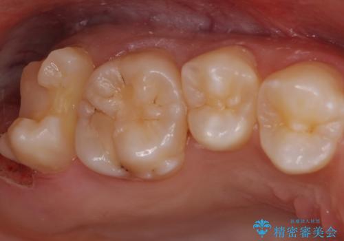
親知らずの手前の歯 抜歯後に適合の良いインレーでの修復処置
治療症例の内容
- 診療科目
- 治療カテゴリ
- 担当医
- 岡田康成(ドクタープロフィール)
- 患者様
- 20代女性
- 治療期間
- 1ヶ月
- 治療回数
- 2-5回
- 治療計画
- 矯正前の虫歯治療をした患者様です。
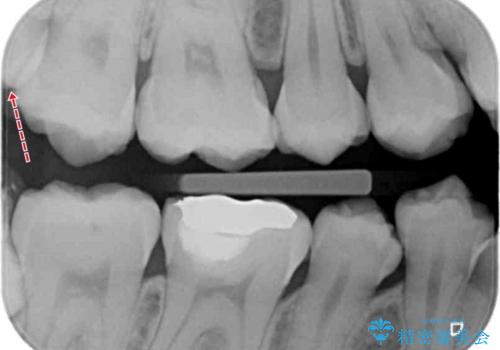
親知らずに面している歯の一部が深いところまでかなり脆くなってしまっていたため(広範囲での脱灰)、親知らずの抜歯後に精度の良いインレーを装着していきました。
- 費用(概算)
- 右上7 ゴールドインレー 77,000円費用は治療当時の料金となります
治療について
親知らずが原因で手前の歯が虫歯になってしまうことがあります。
今回は親知らずの抜歯後に虫歯治療をしていきました。
親知らずが原因で手前の歯が虫歯になると、その大きさが深かった場合最悪保存が難しくなることもあります。
歯磨きで掃除しきれないような親知らずがある場合は早めに抜くこともおすすめです。
PGA(ゴールド)クラウン、インレーの注意事項(リスク・副作用など)
- インレーおよびクラウンは脱離するリスクがあります
- 形成量はセラミックより少ないですが、歯の形成、修復後に歯に症状が出ることがあります
- 自費診療(保険適用外治療)となります
当サイトの内容、テキスト、画像等の無断転載、複製、複写、盗用を固く禁じます。





