症例詳細
Case detail
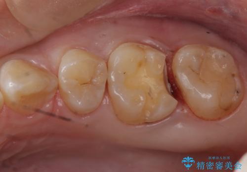
歯と歯の間に隠れた虫歯 セラミックインレーによる治療
治療症例の内容
- 診療科目
- 治療カテゴリ
- 担当医
- 岡田康成(ドクタープロフィール)
- 患者様
- 20代女性
- 治療期間
- 1ヶ月
- 治療回数
- 2-5回
- 治療計画
- むし歯がないか診てほしいとのことで来院されました。
レントゲン画像上で歯と歯の間に虫歯が確認されました。
虫歯を取り切った後、適合の良いインレーを装着します。
- 費用(概算)
- 左上6 セラミックインレー 77,000円費用は治療当時の料金となります
治療について
写真ではなかなか分かりづらいですが、歯と歯の間に虫歯があることがレントゲン画像から読み取ることができます。
精度の良いインレーを装着することは今後の虫歯のリスクを下げることに繋がります。
セラミック治療の注意事項(リスク・副作用など)
- 天然歯を削ります
- 硬い素材は天然歯を傷つけてしまう場合があります
- かみ合わせや歯ぎしりが強すぎる方はセラミックが割れてしまう可能性があります
- 自費診療(保険適用外治療)となります
当サイトの内容、テキスト、画像等の無断転載、複製、複写、盗用を固く禁じます。





