症例詳細
Case detail
【保険治療したところが再び虫歯に】セラミックインレーで治療
治療症例の内容
- 診療科目
- 治療カテゴリ
- 担当医
- 河野豊嘉(ドクタープロフィール)
- 患者様
- 30代男性
- 治療期間
- 1ヶ月
- 治療回数
- 2-5回
- 治療計画
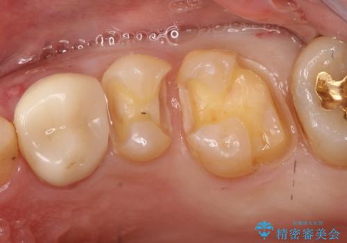
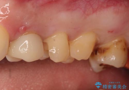
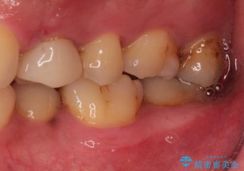
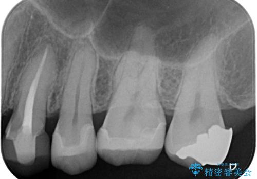
- 定期健診にて虫歯が見つかった患者さんです。他院で保険治療(CR、プラスチック)したところとまだ処置されていないところが虫歯になっていました。
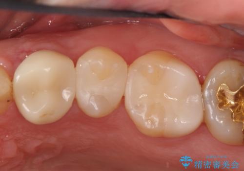
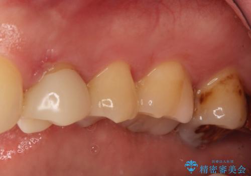
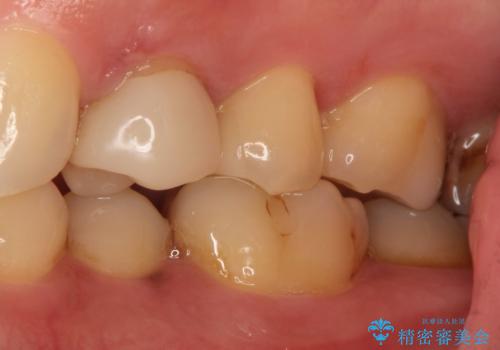
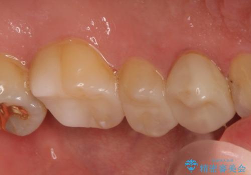
セラミックインレーで治療しました。
- 費用(概算)
- 154,000円(77,000×2)費用は治療当時の料金となります
治療について
以前保険治療で治したところが再び虫歯になっていました。保険治療で使用される材料は主にプラスチックなので必ず劣化がおきます。再治療のリスクを減らすために、セラッミックインレーで治療を行いました。セラミックインレーには劣化がほとんどありません。当院ではシリコンで型取りを行っているので、適合が良い被せものが出来き再治療のリスクを減らすことが出来ます。
セラミック治療の注意事項(リスク・副作用など)
- 天然歯を削ります
- 硬い素材は天然歯を傷つけてしまう場合があります
- かみ合わせや歯ぎしりが強すぎる方はセラミックが割れてしまう可能性があります
- 自費診療(保険適用外治療)となります
当サイトの内容、テキスト、画像等の無断転載、複製、複写、盗用を固く禁じます。











