症例詳細
Case detail
割れた奥歯 適合の良いジルコニアブリッジでの治療
治療症例の内容
- 診療科目
- 治療カテゴリ
- 担当医
- 岡田康成(ドクタープロフィール)
- 患者様
- 50代女性
- 治療期間
- 4ヶ月
- 治療回数
- 2-5回
- 治療計画
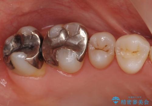
- 症状はないものの、検査の結果右上の奥歯が大きく割れていることが確認されたケースです。
無症状であったため放置していた結果、歯の周囲の骨が溶けてなくなっていました。
歯の深いところまで割れてしまっている場合は健康な状態での歯の保存ができないため抜歯の適応になります。
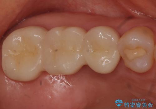
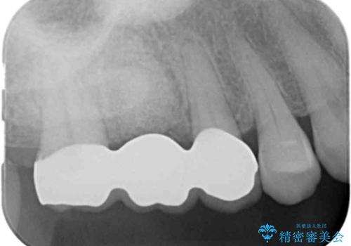
今回は抜歯後に骨の補填材を足し、適合の良いブリッジを装着していくこととなりました。
- 費用(概算)
- 右上6:ソケットプリザベーション/110,000円 右上567:仮歯+ジルコニアブリッジ/11,000円+110,000円 費用は治療当時の料金となります
治療について
抜歯後そのままブリッジを入れるとブリッジと歯茎の間に大きなすき間ができてしまいます。その結果食べ物がつまりやすくなったり、息もれが生じたりと日常生活に支障をきたしてしまうことがあります。
抜歯後に骨を増やしてあげることで、ブリッジと歯茎との間にすき間が生じにくくなり、適合の良いブリッジを入れることが可能となります。
セラミック治療の注意事項(リスク・副作用など)
- 天然歯を削ります
- 硬い素材は天然歯を傷つけてしまう場合があります
- かみ合わせや歯ぎしりが強すぎる方はセラミックが割れてしまう可能性があります
- 自費診療(保険適用外治療)となります
外科処置の注意事項(リスク・副作用など)
- 外科手術のため、術後に出血、痛みや腫れ、違和感を伴います
- 口腔内の状態によっては適応できないことがあります
当サイトの内容、テキスト、画像等の無断転載、複製、複写、盗用を固く禁じます。










