症例詳細
Case detail
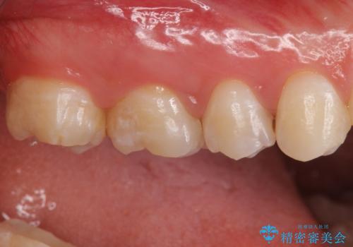
放置した虫歯 セラミックインレーでの治療
治療症例の内容
- 診療科目
 
- 治療カテゴリ
 
- 担当医
 - 岡田康成(ドクタープロフィール)
 
- 患者様
 - 20代女性
 
- 治療期間
 - 1ヶ月
 
- 治療回数
 - 2-5回
 
- 治療計画
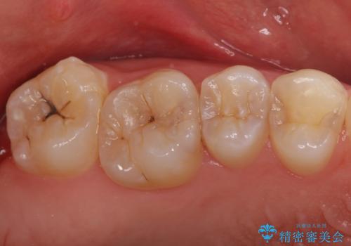
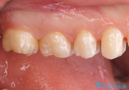
 - 虫歯があれば治療をしていきたいとのことで来院されました。
検査の結果、右上奥歯の歯と歯の間に虫歯が確認されたため治療をしていくこととなりました。 
- 費用(概算)
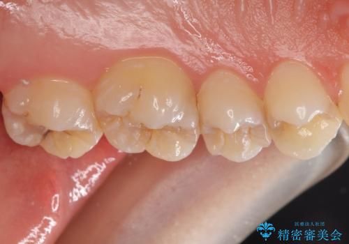
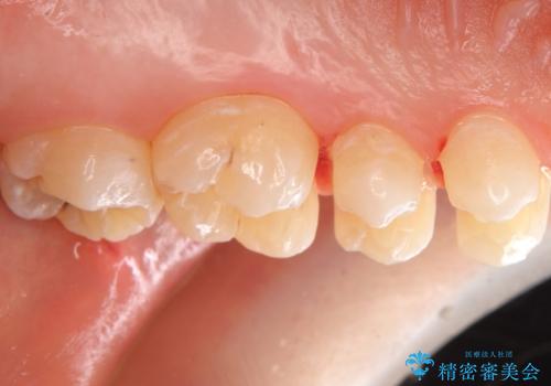
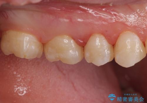
 - 右上456 セラミックインレー 77000円×3本費用は治療当時の料金となります
 
治療について
今回は症状もなく外から見てもわかりづらいケースでしたが、レントゲン画像上でははっきりと虫歯があることが確認できます。
症状がなくても定期的に検査をすることが大事です。
セラミック治療の注意事項(リスク・副作用など)
- 天然歯を削ります
 - 硬い素材は天然歯を傷つけてしまう場合があります
 - かみ合わせや歯ぎしりが強すぎる方はセラミックが割れてしまう可能性があります
 - 自費診療(保険適用外治療)となります
 
当サイトの内容、テキスト、画像等の無断転載、複製、複写、盗用を固く禁じます。

                      
                                                          









