症例詳細
Case detail
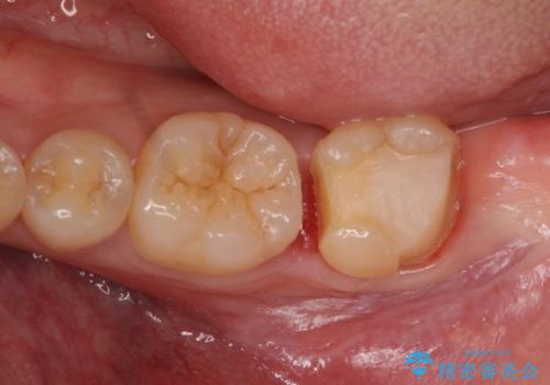
他院で入れたセラミックインレーが取れた。
治療症例の内容
- 診療科目
- 治療カテゴリ
- 担当医
- 青山卓弘(ドクタープロフィール)
- 患者様
- 20代男性
- 治療期間
- 1ヶ月
- 治療回数
- 2-5回
- 治療計画
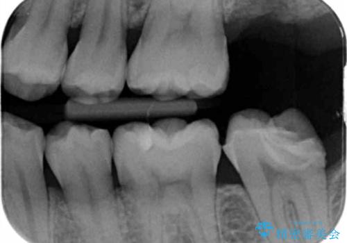
- 他院で入れたセラミックの詰め物が取れてしまい来院。
適合を確認したところ、不適合だったため新しく形を作り直して、型取りをした方が良いことを説明した。
セラミックの詰め物で治療すると、詰め物の範囲が大きくなり、割れてしまう可能性があるので以下の治療の提案をした。
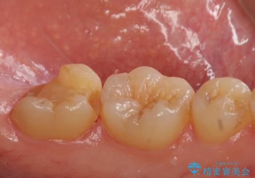
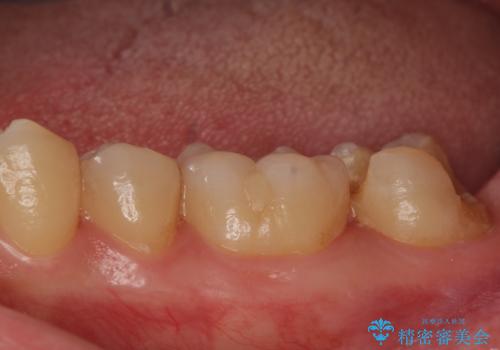
①ゴールドインレーによる治療
割れる心配がなく、歯質もセラミック治療よりも削らなくて済むが、審美的にセラミックより劣る。
②ジルコニアクラウンによる治療
白い被せ物を被せることで審美的に綺麗になり、割れるリスクが少ないが歯質を多く削ることになる。
二つの提案をしたところ、①を選択されたのでゴールドインレーによる治療を行いました。
- 費用(概算)
- ゴールドインレー 11万円費用は治療当時の料金となります
治療について
ゴールドインレーは歯質との適合がよく
虫歯の再発リスクや割れるというリスクが低いです。
しかしご自身での口腔内ケアを怠っていると虫歯の再発リスクは高くなるので
定期的にメンテナンスにくることをお勧めします。
PGA(ゴールド)クラウン、インレーの注意事項(リスク・副作用など)
- インレーおよびクラウンは脱離するリスクがあります
- 形成量はセラミックより少ないですが、歯の形成、修復後に歯に症状が出ることがあります
- 自費診療(保険適用外治療)となります
その他の注意事項(リスク・副作用など)
- 担当歯科医師、歯科衛生士又は医院スタッフから受けた説明・注意事項をよくご確認ください
- 医療を提供するに当たり、適切な説明を行い、患者様の十分な理解を得るよう努めております
当サイトの内容、テキスト、画像等の無断転載、複製、複写、盗用を固く禁じます。











