症例詳細
Case detail
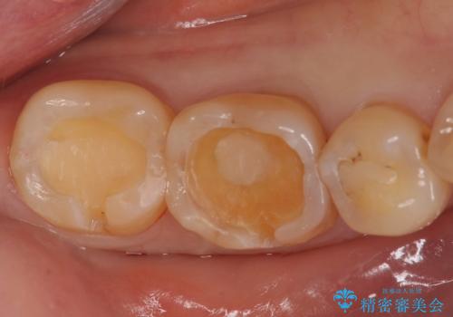
奥歯がしみる。
治療症例の内容
- 診療科目
- 治療カテゴリ
- 担当医
- 青山卓弘(ドクタープロフィール)
- 患者様
- 40代女性
- 治療期間
- 1ヶ月
- 治療回数
- 2-5回
- 治療計画
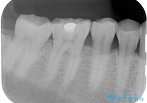
- 奥歯がしみるとのことで来院。レントゲンを確認したところ虫歯はなかったが、歯の咬む面がすり減っていました。
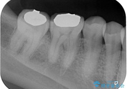
歯ぎしりがとても強い方で、セラミックの詰め物だと割れてしまう可能性があることを伝えたところ、なるべく割れにくいものが良いとのことでしたので、ゴールドインレーによる治療を行いました。
- 費用(概算)
- ゴールドインレー 7.7万円費用は治療当時の料金となります
治療について
歯ぎしりを無意識にしている人は、歯の表面(エナメル質)がすり減り、冷たいものがしみてくる事があります。
歯や被せ物を守るためにナイトガードを勧める事があります。
PGA(ゴールド)クラウン、インレーの注意事項(リスク・副作用など)
- インレーおよびクラウンは脱離するリスクがあります
- 形成量はセラミックより少ないですが、歯の形成、修復後に歯に症状が出ることがあります
- 自費診療(保険適用外治療)となります
その他の注意事項(リスク・副作用など)
- 担当歯科医師、歯科衛生士又は医院スタッフから受けた説明・注意事項をよくご確認ください
- 医療を提供するに当たり、適切な説明を行い、患者様の十分な理解を得るよう努めております
当サイトの内容、テキスト、画像等の無断転載、複製、複写、盗用を固く禁じます。





