症例詳細
Case detail
たまにしみる奥歯 セラミックインレーでの修復
治療症例の内容
- 診療科目
- 治療カテゴリ
- 担当医
- 岡田康成(ドクタープロフィール)
- 患者様
- 右上56 セラミックインレー 77000円×2本
- 治療期間
- 1ヶ月
- 治療回数
- 2-5回
- 治療計画
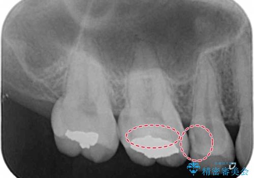
- 奥歯がしみるとのことで来院。
検査の結果、明らかに虫歯がある歯と修復物との間に虫歯がある歯が確認されました。
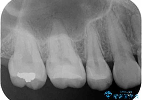
2歯とも白くて適合の良いセラミックインレーでの修復をすることとなりました。
- 費用(概算)
- 右上56 セラミックインレー 77000円×2本費用は治療当時の料金となります
治療について
まだ虫歯が大きくなる前に処置をすることができたため神経の治療をせずに済みました。
歯と歯の間・適合の悪い修復物とその歯の間は虫歯ができることが多い場所になります。
修復物と歯の間の虫歯は、丁寧な虫歯除去と精密な修復物を装着することで予防することができます。
セラミック治療の注意事項(リスク・副作用など)
- 天然歯を削ります
- 硬い素材は天然歯を傷つけてしまう場合があります
- かみ合わせや歯ぎしりが強すぎる方はセラミックが割れてしまう可能性があります
- 自費診療(保険適用外治療)となります
当サイトの内容、テキスト、画像等の無断転載、複製、複写、盗用を固く禁じます。







