症例詳細
Case detail
検査で見つかった虫歯 セラミックインレーでの修復
治療症例の内容
- 診療科目
- 治療カテゴリ
- 担当医
- 岡田康成(ドクタープロフィール)
- 患者様
- 20代女性
- 治療期間
- 治療計画
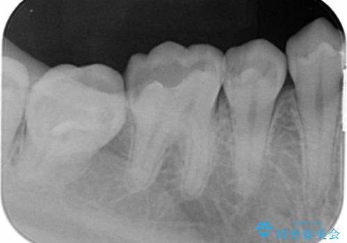
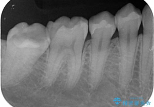
- 「久々の歯医者なの虫歯があれば全体的に治していきたい」とのことで来院。
虫歯の他にも不適合修復物が確認できましたが、「今回は虫歯がある箇所だけ」とのご希望があり該当箇所を治療していきました。
- 費用(概算)
- 右上45 セラミックインレー 77000円×2本費用は治療当時の料金となります
治療について
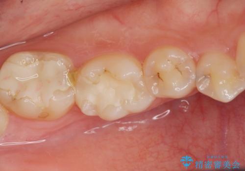
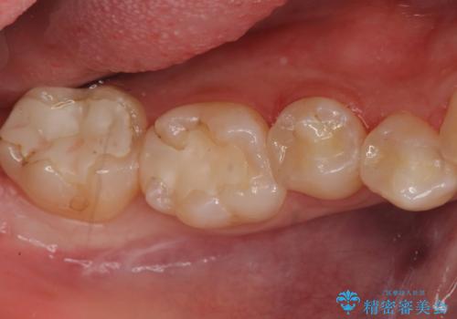
今回は虫歯の治療のみのご希望であったため、掲載している写真の右側2本(口腔内の手前側)を治療していきました。
適合がよく色も白いため、「全然違和感がないですね」と喜んでいただけました。
写真の左側2本(口腔内の奥側)は適合が悪いことが見て取れると思います。
こういった場所は汚れがたまりやすく虫歯のリスクが高くなっているため、適合の良い修復物にやりかえることをお勧めします。
セラミック治療の注意事項(リスク・副作用など)
- 天然歯を削ります
- 硬い素材は天然歯を傷つけてしまう場合があります
- かみ合わせや歯ぎしりが強すぎる方はセラミックが割れてしまう可能性があります
- 自費診療(保険適用外治療)となります
当サイトの内容、テキスト、画像等の無断転載、複製、複写、盗用を固く禁じます。





