症例詳細
Case detail
どこで咬めばいいかわからない 矯正治療で安定した咬み合わせに
治療症例の内容
- 診療科目
 
- 治療カテゴリ
 
- 担当医
 
- 患者様
 - 20代女性
 
- 矯正装置
 - インビザライン
 
- 治療期間
 - 1年2ヶ月
 
- 治療回数
 - 10-30回
 
- 治療計画
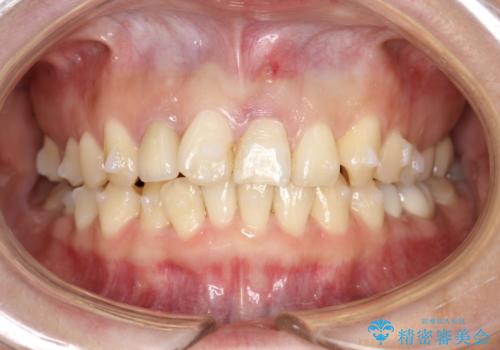
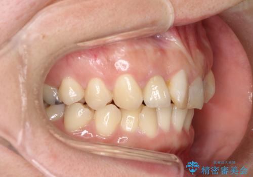
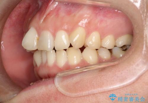
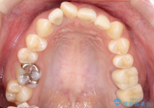
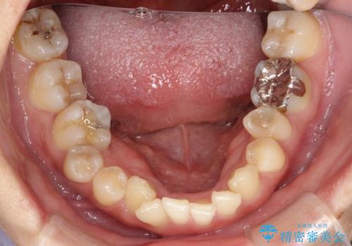
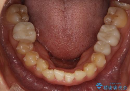
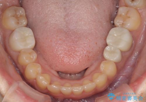
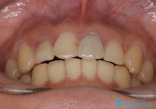
 - 全体的にガタガタで、どこで咬めばいいかわからないとのことで来院されました。
歯並びの関係で、上下の歯がどこで接触するわかりずらいような状態で、かみ合わせが安定していませんでした。
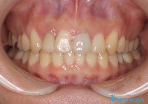
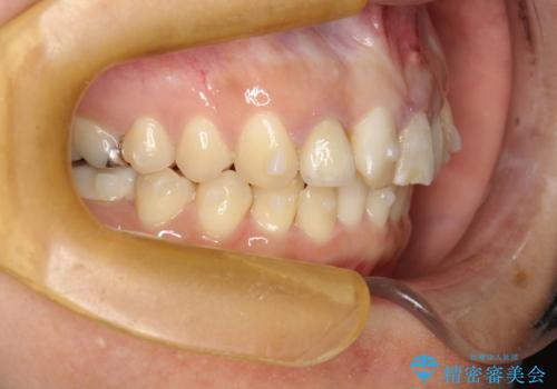
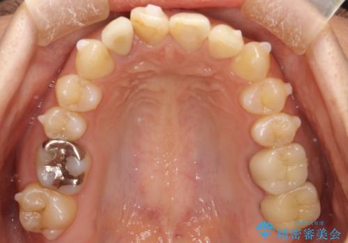
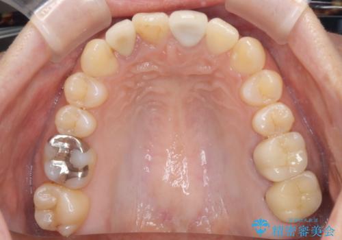
上下の歯並びを改善して咬みやすい状態に持っていくことで、咬合を安定させることとしました。 
- 費用(概算)
 - 約80万円費用は治療当時の料金となります
 
治療について
インビザラインで今回は治療しましたが、最終的な歯並びをデジタルシミュレーションで作成して矯正治療に臨みました。
事前にどのように動かして、ゴールをどうするかを見られるのは、インビザラインのメリットです。
マウスピース矯正の注意事項(リスク・副作用など)
- 口腔内・歯並びの状態によっては対応できない場合があります
 - マウスピース型矯正装置の長時間装着(1日20時間以上)が必須です
 - 治療計画通りに進めるためには、患者様の意志が重要になります
 - 矯正治療後の保定が不十分だと後戻り(元の位置に戻ろうとする動き)をします
 - 薬機法対象外の矯正歯科装置のため医薬品副作用被害救済制度の対象外となる場合があります
 - 自費診療(保険適用外)となります
 
当サイトの内容、テキスト、画像等の無断転載、複製、複写、盗用を固く禁じます。

                      
                                                          















