症例詳細
Case detail
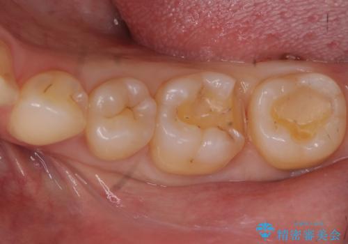
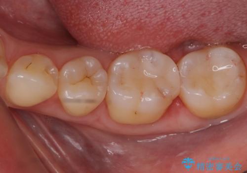
治療途中で放置した奥歯 セラミックインレーでの修復
治療症例の内容
- 診療科目
- 治療カテゴリ
- 担当医
- 岡田康成(ドクタープロフィール)
- 患者様
- 20代女性
- 治療期間
- 1ヶ月
- 治療回数
- 2-5回
- 治療計画
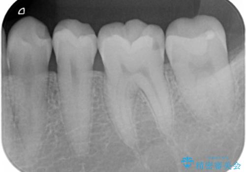
- 「他の医院で治療していたものの途中で放置していた奥歯が欠けたから治してほしい」とのことで来院。
セラミックでの治療を希望されたため、詰められている樹脂の材料を除去してからセラミックインレーでの修復を行いました。
- 費用(概算)
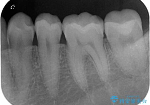
- 左下67 セラミックインレー 77000円×2本費用は治療当時の料金となります
治療について
食いしばりが強い自覚があり、「歯が欠けた理由も食いしばりです」とのことでした。
インレーが向かいの歯と強くかみ合ってしまったり、強い食いしばりがある場合はセラミックだと欠けてしまうリスクがあります。
今回の場合はセラミックインレーの部分に強くかみ合わないようかみ合わせの当たり具合を調整し、さらに夜間の食いしばりによってセラミックインレー・歯質が破折してしまわないようナイトガードの製作も行いました。
クラウンタイプに比べ歯を削る量を抑えられ、白いセラミックインレーでの修復ができたことに大変喜んでいただけました。
ナイトガードも毎日使用され定期的にメンテナンスにも通っていただいていることもあり、現在セラミックインレー・歯質に特に問題はなく快適に過ごされているそうです。
セラミック治療の注意事項(リスク・副作用など)
- 天然歯を削ります
- 硬い素材は天然歯を傷つけてしまう場合があります
- かみ合わせや歯ぎしりが強すぎる方はセラミックが割れてしまう可能性があります
- 自費診療(保険適用外治療)となります
当サイトの内容、テキスト、画像等の無断転載、複製、複写、盗用を固く禁じます。





