症例詳細
Case detail
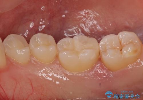
奥歯の虫歯 セラミックインレーによる治療
治療症例の内容
- 診療科目
 
- 治療カテゴリ
 
- 担当医
 - 岡田康成(ドクタープロフィール)
 
- 患者様
 - 20代女性
 
- 治療期間
 - 1ヶ月
 
- 治療回数
 - 2-5回
 
- 治療計画
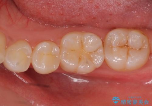
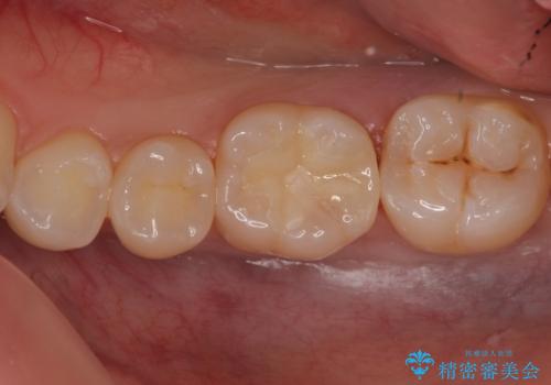
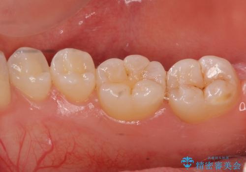
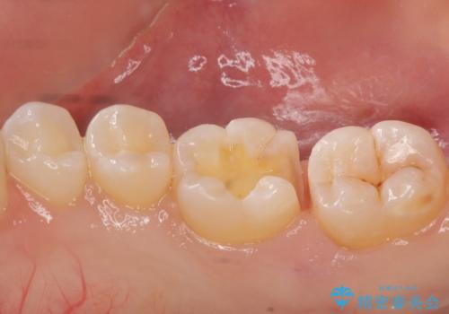
 - 検査をしたところ奥歯に小さな虫歯を発見。
大きくなる前に白い詰め物で治療がしたいとのことでセラミックインレーでの治療になりました。 
- 費用(概算)
 - 左下6 セラミックインレー 77000円×1本費用は治療当時の料金となります
 
治療について
口の中を見ただけでは異常がないのにレントゲン画像上では虫歯がある、といったことは多々あります。奥歯とはいえ、口をあけると外から見えてしまうため白いセラミックでの治療ができたことを大変喜んでいただけました。
セラミック治療の注意事項(リスク・副作用など)
- 天然歯を削ります
 - 硬い素材は天然歯を傷つけてしまう場合があります
 - かみ合わせや歯ぎしりが強すぎる方はセラミックが割れてしまう可能性があります
 - 自費診療(保険適用外治療)となります
 
当サイトの内容、テキスト、画像等の無断転載、複製、複写、盗用を固く禁じます。

                      
                                                          







