症例詳細
Case detail
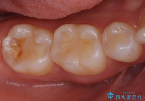
検査で見つかった虫歯 セラミックインレーでの治療
治療症例の内容
- 診療科目
- 治療カテゴリ
- 担当医
- 岡田康成(ドクタープロフィール)
- 患者様
- 20代女性
- 治療期間
- 1ヶ月
- 治療回数
- 2-5回
- 治療計画
- 全体的にむし歯を治していきたいとのことで来院。
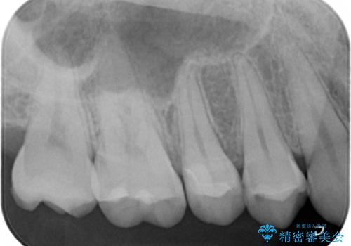
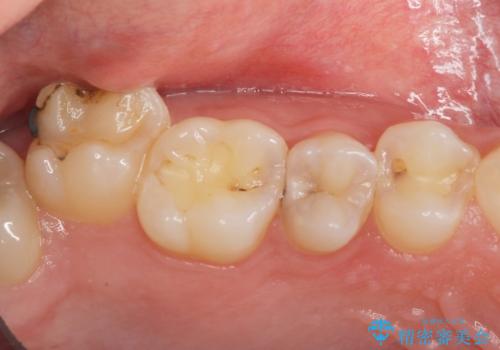
検査の結果、症状はないものの右上の奥歯に虫歯が見つかりました。
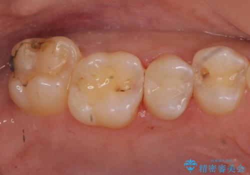
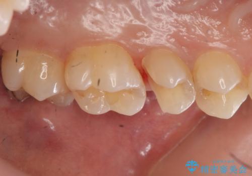
笑うと外からも見える位置であるため、白いセラミックでの治療となりました。
- 費用(概算)
- 右上5 セラミックインレー 77000円×1本費用は治療当時の料金となります
治療について
局所的に深い虫歯が確認されましたが、神経は温存することができました。
歯と歯の間から広がる虫歯は目視では確認しにくいため、定期的にチェックし悪化を予防することが大事です。
セラミック治療の注意事項(リスク・副作用など)
- 天然歯を削ります
- 硬い素材は天然歯を傷つけてしまう場合があります
- かみ合わせや歯ぎしりが強すぎる方はセラミックが割れてしまう可能性があります
- 自費診療(保険適用外治療)となります
当サイトの内容、テキスト、画像等の無断転載、複製、複写、盗用を固く禁じます。






