症例詳細
Case detail
下の前歯の歯石が気になる(PMTC)
治療症例の内容
- 診療科目
- 治療カテゴリ
- 患者様
- 20代女性
- 治療期間
- 1日
- 治療回数
- 1回
- 治療計画
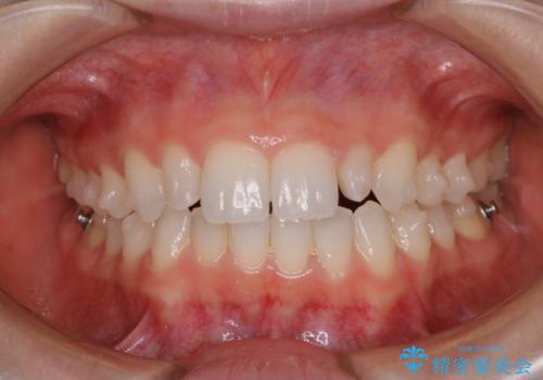
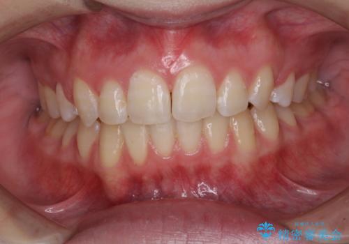
- クリーニングしてほしいとのことで来院されました。
着色や汚れがひどい状態ではなかったため、PMTC30分コースを行いました。
- 費用(概算)
- ¥5500費用は治療当時の料金となります
治療について
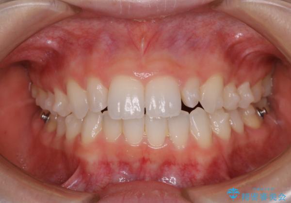
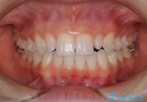
PMTC30分コースを行いました。
下の前歯の歯石が気になるとのことでした。裏側も少量のステインがついていました。
デンタルフロスの使用時に両側の歯にしっかり添わせて行うように説明しました。
担当歯科衛生士
表参道しらゆり歯科 DH富田
PMTCの注意事項(リスク・副作用など)
- 歯を白くする目的の施術ではありません
- 保険適用外となります
当サイトの内容、テキスト、画像等の無断転載、複製、複写、盗用を固く禁じます。


