症例詳細
Case detail
症状のない虫歯 セラミックインレーでの治療
治療症例の内容
- 診療科目
- 治療カテゴリ
- 担当医
- 岡田康成(ドクタープロフィール)
- 患者様
- 20代女性
- 治療期間
- 1ヶ月
- 治療回数
- 2-5回
- 治療計画
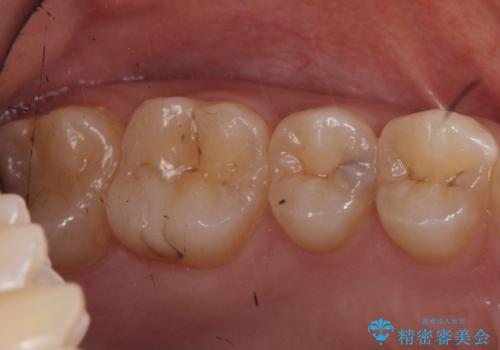
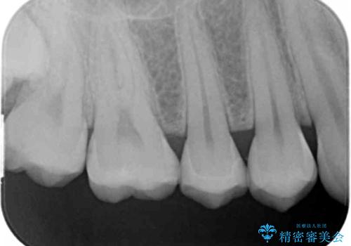
- 健診にて来院。
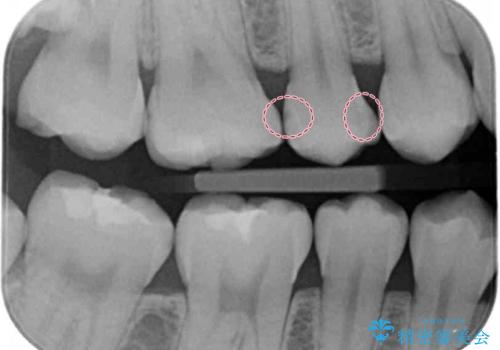
症状はないものの奥歯に黒ずんだ箇所があるため治療を進めていくことになりました。
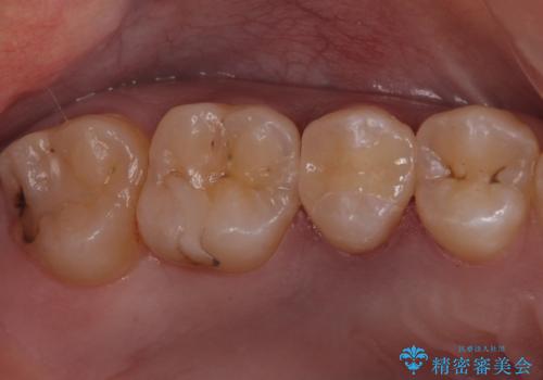
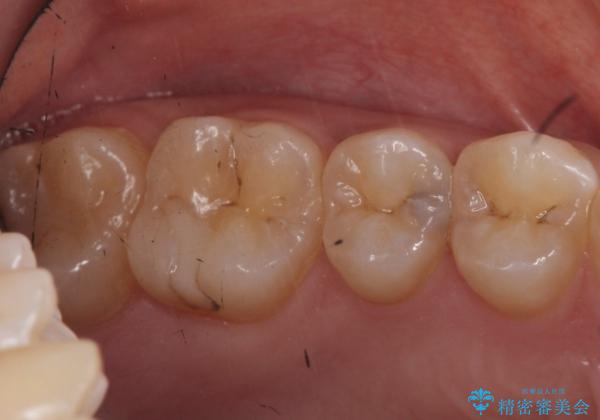
笑うと外から見える場所であるため白い詰め物での治療となりました。
- 費用(概算)
- 右上5 セラミックインレー 77000円×1本費用は治療当時の料金となります
治療について
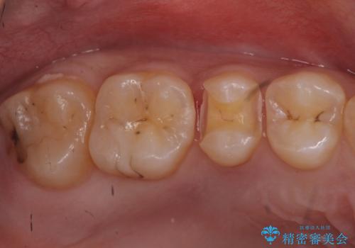
外からも確認できる虫歯だけでなく、歯の奥の面の虫歯も残さず除去しました。
残った歯の量が多かったためインレータイプでの修復となりました。
セラミック治療の注意事項(リスク・副作用など)
- 天然歯を削ります
- 硬い素材は天然歯を傷つけてしまう場合があります
- かみ合わせや歯ぎしりが強すぎる方はセラミックが割れてしまう可能性があります
- 自費診療(保険適用外治療)となります
当サイトの内容、テキスト、画像等の無断転載、複製、複写、盗用を固く禁じます。





