症例詳細
Case detail
臼歯部インプラント治療
治療症例の内容
- 診療科目
- 担当医
- 大元洋佑(ドクタープロフィール)
- 患者様
- 40代女性
- 治療期間
- 8ヶ月
- 治療回数
- 5-10回
- 治療計画
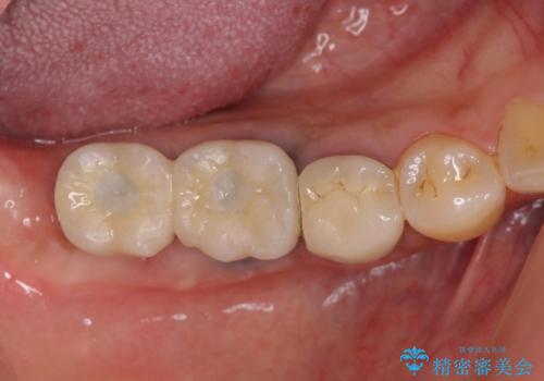
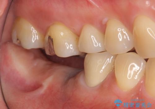
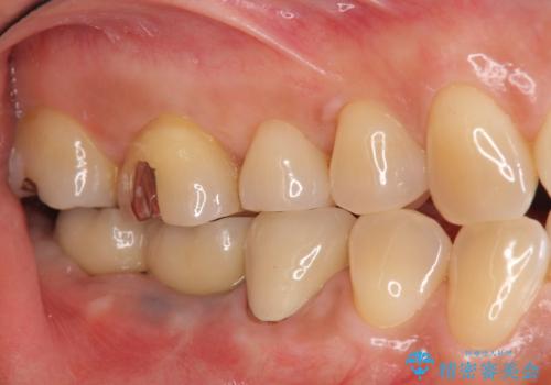
- 失った右下奥歯の機能回復を求めて来院されました。
取り外しの必要な入れ歯、もしくは手術の必要なインプラントのご提案を行い、しっかりと奥歯で物を噛みたいとの要望からインプラント治療を計画します。
インプラントの埋入には十分な骨量が必要ですが、虫食い状に骨が足りなかった為インプラントの埋入と同時に骨の増成を行いました。
- 費用(概算)
- 88万円費用は治療当時の料金となります
インプラント治療に伴う骨造成について
インプラントを埋入する手術と同時に骨の増成を行う場合と、埋入前に骨の造成だけを行う場合があります。
インプラント治療の注意事項(リスク・副作用など)
- 外科手術のため、術後に痛みや腫れ、違和感を伴います
- メンテナンスを怠ったり喫煙により、お口の中に大きな悪影響を及ぼすインプラント周囲炎等にかかる可能性があります
- 糖尿病、肝硬変、心臓病等の場合、インプラント治療ができない可能性があります
- 高血圧、貧血・不整脈等の場合、インプラント治療後に治癒不全を招く可能性があります
- 自費診療(保険適用外治療)となります
当サイトの内容、テキスト、画像等の無断転載、複製、複写、盗用を固く禁じます。




















