症例詳細
Case detail
コーヒー、タバコなどで着色した歯をPMTCで、きれいに!!
治療症例の内容
- 診療科目
- 治療カテゴリ
- 患者様
- 30代男性
- 治療期間
- 1日
- 治療回数
- 1回
- 治療計画
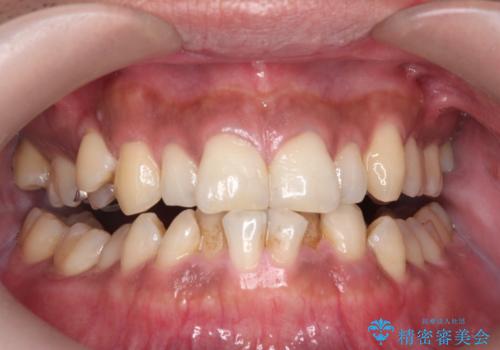
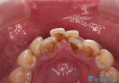
- 長年の喫煙とコーヒーによる歯の、着色をとりたいと来院されました。
かなり汚れがこびりついていたので、PMTC(歯科医院で行うプロフェッショナルクリーニング)60分コースを
おすすめしました。
- 費用(概算)
- 11000円(税込)費用は治療当時の料金となります
PMTC(60分コース) 担当衛生士 進藤
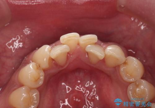
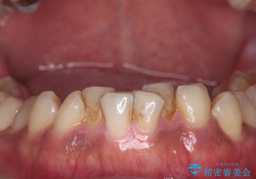
歯の着色だけでなく、汚れもとれ歯の表面がツルツルなって気持ちがいいと
大変満足していただけました。
PMTCの注意事項(リスク・副作用など)
- 歯を白くする目的の施術ではありません
- 保険適用外となります
当サイトの内容、テキスト、画像等の無断転載、複製、複写、盗用を固く禁じます。






