症例詳細
Case detail
ワイヤーの調整日と一緒にクリーニングを
治療症例の内容
- 診療科目
- 治療カテゴリ
- 患者様
- 20代女性
- 治療期間
- 1日
- 治療回数
- 1回
- 治療計画
- クリーニングをしてほしいとのことで来院されました。
PMTC30分コースを行いました。
- 費用(概算)
- ¥5500費用は治療当時の料金となります
治療について
PMTC30分コースを行いました。
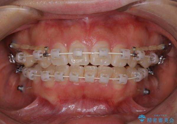
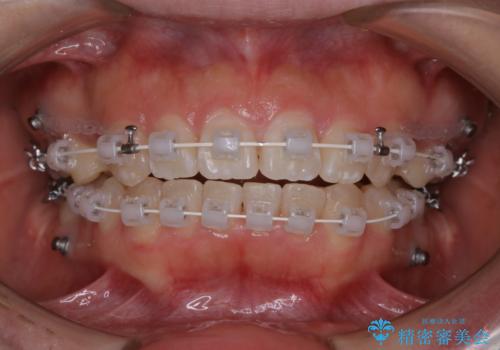
ワイヤー矯正中の患者様で、2カ月ぺースでクリーニングを行っています。
歯茎が腫れないようにキープするには、1,2カ月ペースがベストだと思いますので、定期的にクリーニングを行うことをおススメします。
ワイヤー矯正中は装置の中に汚れが入り込み口臭の原因になりやすいため、個人的には1カ月ペースなおかつワイヤーの調整日と同じ日に予約を取ることをおすすめします。
担当歯科衛生士
表参道しらゆり歯科 DH富田
PMTCの注意事項(リスク・副作用など)
- 歯を白くする目的の施術ではありません
- 保険適用外となります
当サイトの内容、テキスト、画像等の無断転載、複製、複写、盗用を固く禁じます。


