症例詳細
Case detail
歯が黒いのが気になる
治療症例の内容
- 診療科目
- 治療カテゴリ
- 担当医
- 青山卓弘(ドクタープロフィール)
- 患者様
- 20代女性
- 治療期間
- 1ヶ月
- 治療回数
- 2-5回
- 治療計画
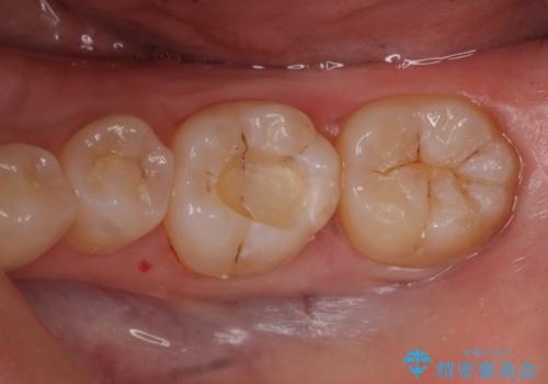
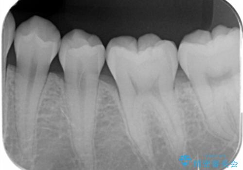
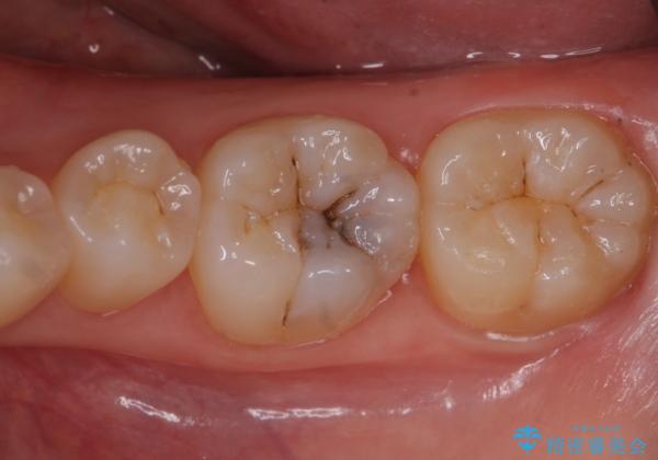
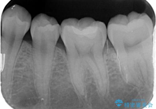
- 奥歯が黒いのが気になるとのことで来院。
レントゲンを確認したところ虫歯が大きくないので、以下の治療の提案を行った。
①虫歯を除去し、CR(レジン樹脂)で埋める。
安価で一日で終わり歯質を削る量が少ないが劣化しやすい(着色しやすい)。
虫歯の再発リスクが高い。
②虫歯を除去し、e-maxインレーで治療する。
歯質を削る量がCRで治療するより多く、また来院回数も多くなる(2回)。
劣化しにくく、虫歯の再発リスクが少ない。
コストがかかる。
患者様と相談し、虫歯が小さい段階で再発リスクの少ない治療を行いたい。
劣化も避けたいとのご希望だった。
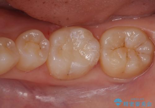
そのため②のe-maxインレーでの治療の方針になった。
- 費用(概算)
- e-maxインレー 7.7万円 費用は治療当時の料金となります
治療について
レジンの樹脂は安価で1日で治療を終える事ができるが
吸水性があり、どんなに丁寧に磨いていても劣化してきてしまいます。
また、歯と歯質の隙間ができてしまい、虫歯の再発リスクが高まります。
多少大きく削ることになってしまったが、希望に沿った処置となり、
満足して頂けました。
セラミック治療の注意事項(リスク・副作用など)
- 天然歯を削ります
- 硬い素材は天然歯を傷つけてしまう場合があります
- かみ合わせや歯ぎしりが強すぎる方はセラミックが割れてしまう可能性があります
- 自費診療(保険適用外治療)となります
その他の注意事項(リスク・副作用など)
- 担当歯科医師、歯科衛生士又は医院スタッフから受けた説明・注意事項をよくご確認ください
- 医療を提供するに当たり、適切な説明を行い、患者様の十分な理解を得るよう努めております
当サイトの内容、テキスト、画像等の無断転載、複製、複写、盗用を固く禁じます。





