症例詳細
Case detail
歯根が見えてしみる 歯肉移植による歯肉退縮の改善
治療症例の内容
- 診療科目
- 治療カテゴリ
- 担当医
- 藤巻太一朗(ドクタープロフィール)
- 患者様
- 50代女性
- 治療期間
- 3ヶ月
- 治療回数
- 5-10回
- 治療計画
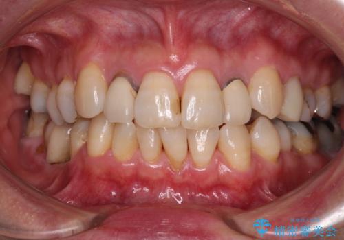
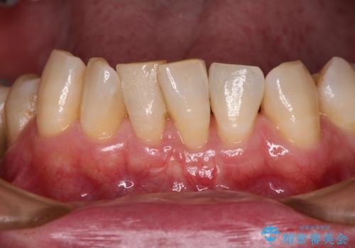
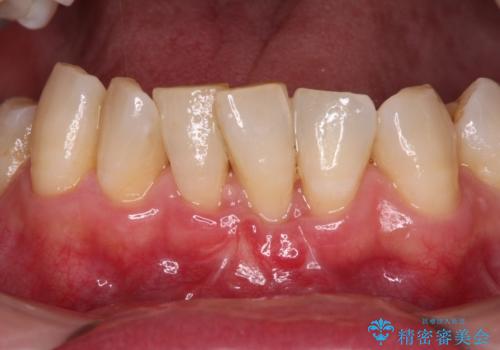
- 下顎前歯の歯根面が露出し、しみてしまうとのことで来院された患者様です。
デコボコしており、前面に転位しているため、歯根面が露出している状態でした。
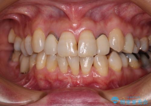
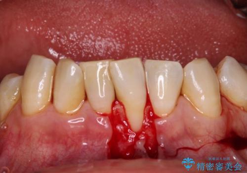
口蓋(上顎の内側)から採取した結合組織(歯肉の内側の組織)を移植することによる、根面被覆術を行うこととしました。
- 費用(概算)
- 治療費の目安: 11万円(税込)費用は治療当時の料金となります
治療について
歯肉が薄く、外側に転位した歯であったため、歯肉退縮が起こりやすいと判断された患者様でした。
根面被覆を達成するとともに、歯肉の厚みを増すことで、今後歯肉退縮を起こしにくくするよう配慮した処置としました。
外科処置の注意事項(リスク・副作用など)
- 外科手術のため、術後に出血、痛みや腫れ、違和感を伴います
- 口腔内の状態によっては適応できないことがあります
当サイトの内容、テキスト、画像等の無断転載、複製、複写、盗用を固く禁じます。










