症例詳細
Case detail
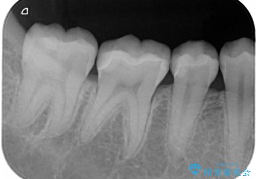
隠れているむし歯 セラミックインレーによる治療
治療症例の内容
- 診療科目
- 治療カテゴリ
- 担当医
- 岡田康成(ドクタープロフィール)
- 患者様
- 20代女性
- 治療期間
- 1ヶ月
- 治療回数
- 2-5回
- 治療計画
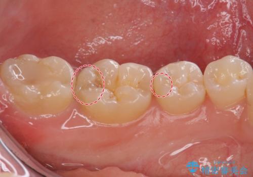
- 2年ぶりの来院。メンテナンス時に虫歯が多数確認されました。
まずは虫歯の大きいところから治療を進めることになり今回は右下の奥歯の治療を行いました。
- 費用(概算)
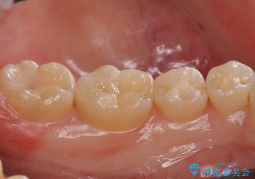
- 右下56 セラミックインレー 77000円×2本費用は治療当時の料金となります
治療について
メンテナンスで虫歯を発見することができたため、症状が出る前に治療を終えることができました。下の奥歯は笑った時に外からよく見える部分なので白く目立たない詰め物を入れることができて大変喜んでいただけました。
放置していくとインレーでの修復が難しくなってしまうため、定期的なメンテナンスが大事になってきます。
セラミック治療の注意事項(リスク・副作用など)
- 天然歯を削ります
- 硬い素材は天然歯を傷つけてしまう場合があります
- かみ合わせや歯ぎしりが強すぎる方はセラミックが割れてしまう可能性があります
- 自費診療(保険適用外治療)となります
当サイトの内容、テキスト、画像等の無断転載、複製、複写、盗用を固く禁じます。








