症例詳細
Case detail
オフィスホワイトニングで白く透明感のある歯に!!
治療症例の内容
- 診療科目
- 治療カテゴリ
- 患者様
- 30代女性
- 治療期間
- 1日
- 治療回数
- 1回
- 治療計画
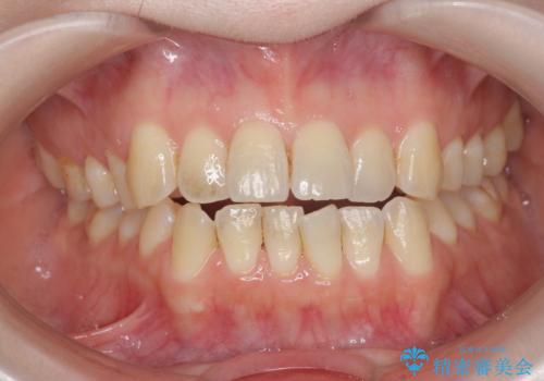
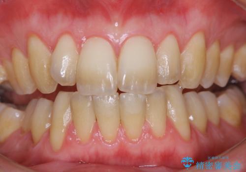
- ご自身の歯をホワイトニングで今より白くしたいと来院されました。
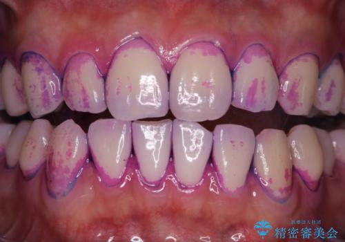
1日で白くなるオフィスホワイトニング(エクセレント)をおすすめしました。
- 費用(概算)
- 33000円(税込)クリーニング付費用は治療当時の料金となります
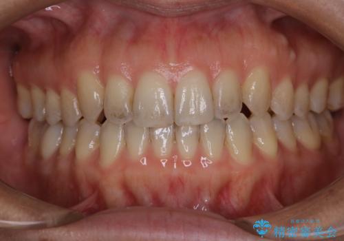
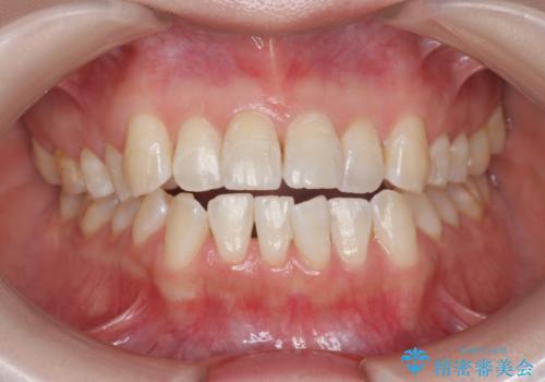
オフィスホワイトニング(エクセレント) 担当衛生士 進藤
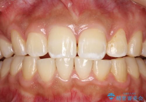
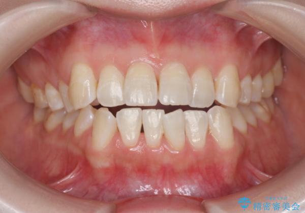
歯の色が明るくなり透明感もでて、良かったと大変喜んでいただけました。
ホワイトニングの注意事項(リスク・副作用など)
- 知覚過敏が出ることがあります
- ホワイトバンドや白い斑点が出ることがあります
- クラウンやインレー等の補綴物には効果がありません
- ホワイトニングによる効果や持続期間には個人差があります
- 歯牙の状態によっては適応できないことがあります
- 保険適用外となります
当サイトの内容、テキスト、画像等の無断転載、複製、複写、盗用を固く禁じます。


