症例詳細
Case detail
奥歯の虫歯 セラミックインレーによる治療
治療症例の内容
- 診療科目
- 治療カテゴリ
- 担当医
- 岡田康成(ドクタープロフィール)
- 患者様
- 50代女性
- 治療期間
- 1ヶ月
- 治療回数
- 2-5回
- 治療計画
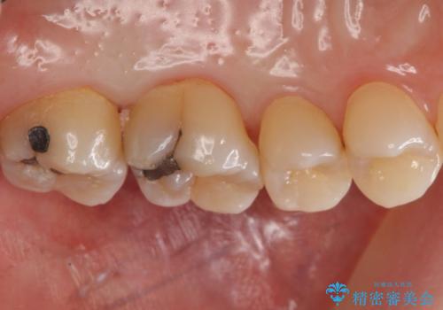
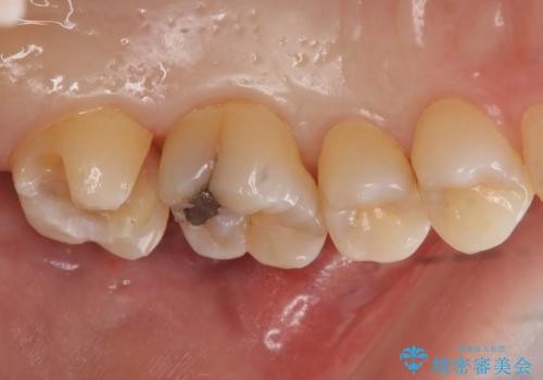
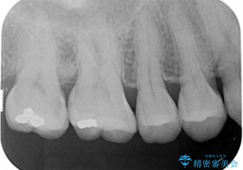
- 定期検診にて来院、症状はないものの右上の奥歯に虫歯が再発していました。
視診・レントゲン画像より虫歯の大きさを判断し、虫歯の除去後セラミックインレーにて修復することになりました。
- 費用(概算)
- 右上7 セラミックインレー 77000円×1本費用は治療当時の料金となります
治療について
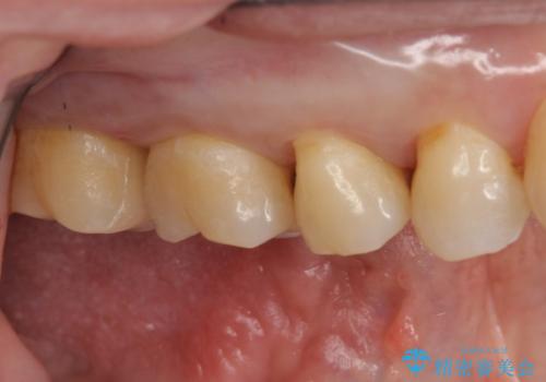
セラミックインレー装着後は食べ物の詰まりも改善され、お掃除がしやすい環境になりとても満足していただけました。
奥歯は歯磨きが難しい上にご自身で状態を確認することが難しい場所になっています。
食べ物が詰まりやすいなどの症状が出ると虫歯が潜んでいる可能性が高いため、お悩みのある方はいつでもご相談ください。
セラミック治療の注意事項(リスク・副作用など)
- 天然歯を削ります
- 硬い素材は天然歯を傷つけてしまう場合があります
- かみ合わせや歯ぎしりが強すぎる方はセラミックが割れてしまう可能性があります
- 自費診療(保険適用外治療)となります
当サイトの内容、テキスト、画像等の無断転載、複製、複写、盗用を固く禁じます。










