症例詳細
Case detail
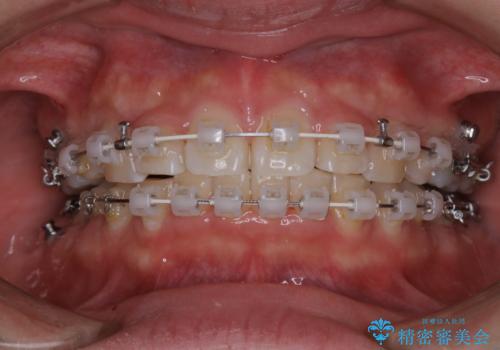
ワイヤー矯正中はたった1ヶ月でとても汚れがたまる
治療症例の内容
- 診療科目
- 治療カテゴリ
- 患者様
- 20代女性
- 治療期間
- 1日
- 治療回数
- 1回
- 治療計画
- クリーニングをしてほしいとのことで来院されました。
PMTC30分コースを行いました。
- 費用(概算)
- ¥5500費用は治療当時の料金となります
治療について
ワイヤーを外してPMTC30分コースを行いました。
今回は、ワイヤーの調整日と同じ日にクリーニングのご予約をされていたため、ワイヤーを一旦外してクリーニングをすることが出来ました。
ワイヤーがない分、より細かなところまでクリーニングすることが出来ます。
ワイヤー矯正中は、歯ブラシが難しいため、歯周病や虫歯のリスクが高くなります。また、ホームケアを頑張ったとしても着色や歯石など汚れがたまってきてしまいます。1ヶ月に1回のクリーニングがおすすめです。より良いのは、ワイヤー矯正の調整日と同じ日にクリーニングのご予約いただく事です。
担当歯科衛生士
表参道しらゆり歯科 DH富田
PMTCの注意事項(リスク・副作用など)
- 歯を白くする目的の施術ではありません
- 保険適用外となります
当サイトの内容、テキスト、画像等の無断転載、複製、複写、盗用を固く禁じます。


