症例詳細
Case detail
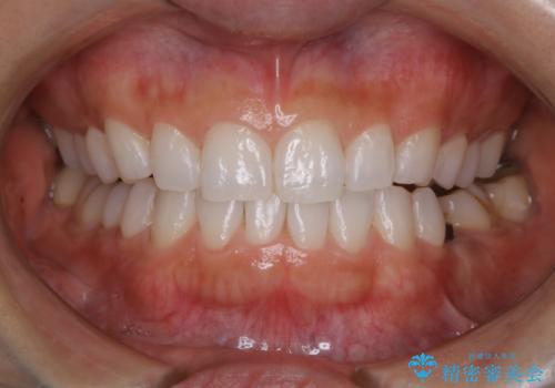
お口の中全体にプラーク(歯垢)が付着している方のクリーニンング
治療症例の内容
- 診療科目
- 治療カテゴリ
- 患者様
- 30代女性
- 治療期間
- 1日
- 治療回数
- 1回
- 治療計画
- クリーニングしてほしいとのことで来院されました。
PMTC30分コースを行いました。
- 費用(概算)
- ¥5500費用は治療当時の料金となります
治療について
PMTC30分コースを行いました。
全体的に歯の面、歯と歯の間にプラークが付いていました。
プラークが付着している歯面は、黄ばみやツヤが損なわれるだけでなく、口臭や虫歯、歯周病などの原因につながってくるため、定期的にクリーニングしてあげることが大切です。
もちろん毎日のケア、ホームケアも大切になるため、歯ブラシの仕方の指導もさせてもらっています。
担当歯科衛生士
表参道しらゆり歯科 富田
PMTCの注意事項(リスク・副作用など)
- 歯を白くする目的の施術ではありません
- 保険適用外となります
当サイトの内容、テキスト、画像等の無断転載、複製、複写、盗用を固く禁じます。


