症例詳細
Case detail
コーヒーを多く飲むインビザライン矯正中の患者様のクリーニング
治療症例の内容
- 診療科目
- 治療カテゴリ
- 患者様
- 20代男性
- 治療期間
- 1日
- 治療回数
- 1回
- 治療計画
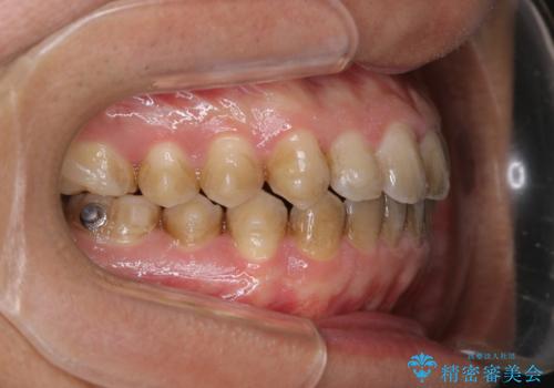
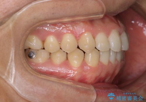
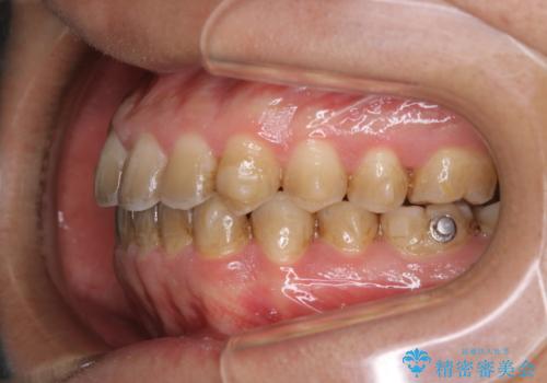
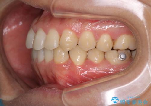
- クリーニングしてほしいとのことで来院されました。
PMTC60分コースを行いました。
- 費用(概算)
- ¥11000費用は治療当時の料金となります
治療について
PMTC60分コースを行いました。
60分コースでも足りないくらいの着色の量でした。
定期的にクリーニングに来られてますが、かなりの量のコーヒーを飲まれているため着色が多かったです。
今日から歯磨き粉を変えてもらうことになりました。
’’トータルケア’’という歯磨き粉で、その名の通り、歯周病、虫歯、知覚過敏、着色汚れ、口臭に対応している歯磨き粉になります。
おススメした理由は、歯のカルシウムと結合するポリリン酸ナトリウムがステインやタバコのやになどの着色汚れを浮かせてくれる効果があるためです。
歯ブラシの仕方はとても丁寧に磨けているので、歯磨き粉を変えてあげるだけで着色の付き具合が変わります。
トータルケアの歯磨き粉は、受付にて購入可能です。
院長の福本もとてもおすすめしている歯磨き粉になるため、是非、気になる方はお問い合わせください。
担当歯科衛生士
表参道しらゆり歯科 DH富田
PMTCの注意事項(リスク・副作用など)
- 歯を白くする目的の施術ではありません
- 保険適用外となります
当サイトの内容、テキスト、画像等の無断転載、複製、複写、盗用を固く禁じます。






