症例詳細
Case detail
ワイヤー矯正中のクリーニング
治療症例の内容
- 診療科目
- 治療カテゴリ
- 患者様
- 30代男性
- 治療期間
- 1日
- 治療回数
- 1回
- 治療計画
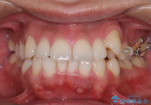
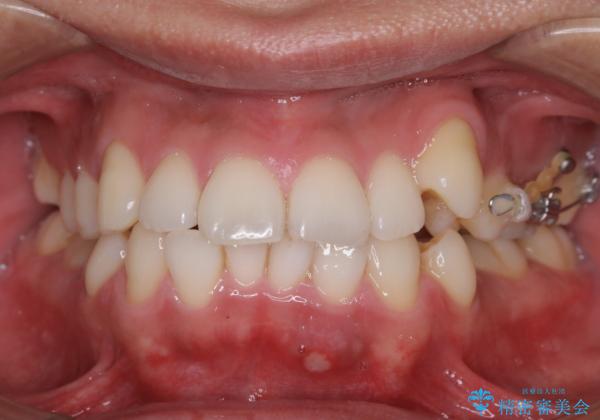
- 着色落としをして欲しいとのことで来院されました。
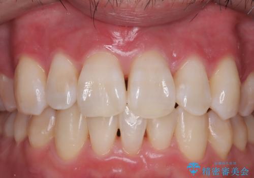
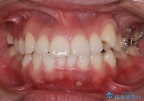
PMTC30分コースを行いました。
- 費用(概算)
- ¥5500費用は治療当時の料金となります
治療について
PMTC30分コースを行いました。
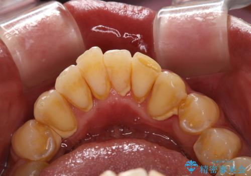
ワイヤー矯正中の患者様で、着色落としを希望されました。
タバコを吸うため、主に裏側に着色が多く付いていました。ワイヤーが付いている場所も多くのプラークが付いていました。定期的にクリーニングをおすすめします。
担当歯科衛生士
表参道しらゆり歯科 DH富田
PMTCの注意事項(リスク・副作用など)
- 歯を白くする目的の施術ではありません
- 保険適用外となります
当サイトの内容、テキスト、画像等の無断転載、複製、複写、盗用を固く禁じます。


